Banner

MRT-Bilder vom Oberschenkel/Adduktoren deuten

MRT-Bilder vom Oberschenkel/Adduktoren deuten

1
Hallo zusammen,

ich habe derzeit Probleme im Bereich der Adduktoren im Bereich zwischen dem Schambein und dem Sitzhöckers (Im Ansatzbereich) beim rechten Bein. Es müßte der Adduktor Magnus sein.

Wenn ich joggen gehe fängt es nach einigen Minuten ganz leicht an in diesem Bereich zu ziehen/picken. Während des Joggens steigert sich dieses Gefühl. Wenn ich das Joggen beende und nur Stehe, oder normal gehe zieht nichts.

Erst wenn ich den Bereich auf Dehnung bringe, spüre ich dieses Ziehen dann auch in der Ruhephase. z.B. durch:

- Wenn ich mein rechtes Bein mit Schwung nach oben schwinge, zieht es ebenfalls dort.
- Wenn ich mich auf den Rücken lege und mein rechtes Bein leicht anwinkel und an die Brust heranziehe, zieht es ebenfalls dort.

Wenn ich diese Provokation direkt nach dem Joggen mache, zieht es intensiver, als wenn ich dies 3-5 Tage nach dem Joggen mache.

So begleitet mich das ganze seit ca. April, da mein Physio meinte ich solle weitermachen, da es wohl ein funktionales Problem sei.

Da es über die Monate jedoch nach dem Joggen/Fussball spielen eher schlechter als besser wurde, wurde ich skeptisch und habe 6 Wochen Pause gemacht, nehme Wobenzym und habe 3x Stoßwelle bekommen und es wurde 2x direkt dort massiert (natürlich auch die Muskulatur drum herum).

Jedoch scheint die Massage es ebenfalls eher zu verschlimmern. Nun war ich gestern im MRT. Die Ärztin dort sagte mir nach dem MRT dass beide Oberschenkel total gleich wären und keine Auffälligkeiten zu sehen waren (Das sagte sie mir bereits 5 Minuten nach dem MRT) und das wäre auch der Befund der an meinen Orthopäden geht.

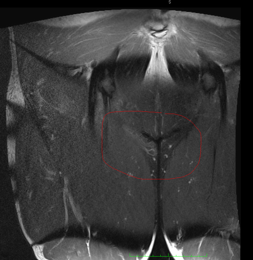
Nun habe ich mir die MRT-Bilder selber angeschaut und bin der festen Meinung, dass genau in dem Bereich wo ich Probleme habe, eine deutliche Auffälligkeit im Vergleich zum anderen Bein zu sehen ist. Diese hellere Struktur ist wohlgemerkt nicht nur in einer Schicht der Aufnahme zu sehen, sondern auf 14.

Kennt sich jemand mit MRT-Bildern aus und kann dazu was sagen? Ist dort eine Auffälligkeit zu sehen, oder ist das Zufall? Deutet dies auf eine Entzündung hin? (Ja ich gehe noch zum Arzt mit den Bildern)

Anbei einmal zwei Unterschiedliche Sequenzen. Das schwarze Y was ihr seht ist der Bereich linkes Bein/rechtes Bein, oben Genitalbereich. Links ist eine deutliche hellere Struktur zu erkennen als rechts (Adduktoren).



Danke für Eure Antwort,
Johannes
Dateianhänge
Antworten

Zurück zu „Gesundheit & Medizin“