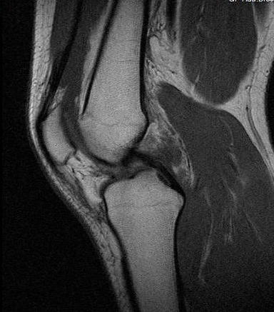
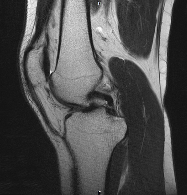
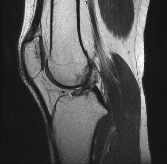
Ich war gerade im MRT wegen Problemen mit meinem rechten Knie. Hab jetzt kurz mal einen auf Dr. Google gemacht und Bilder der häufigsten Verletzungen verglichen mit meinen Bildern. Da bin ich beim vorderen Kreuzbandriss etwas aufmerkasm geworden. Das sind meine Bilder
auf dem letzten Bild sieht man mein hinteres Kreuzband ja wunderbar, es ist ja dieser dunkle "Haken", der Oberschenkel und Schienbein miteinander verbindet.
Nun aber auf dem 3. Bild sollte man doch dasselbe fürs vordere sehen? Aber ich sehe da nur die Ansätze am Schienbein?
Ich will eigentlich keine Ferndiagnose, ich kann nur den Termin beim Spezialisten nicht abwarten. Denke ich werde mich da noch so 2 Wochen gedulden müssen bis ich einen krieg

Vielen Dank und liebe Grüsse