Banner

Spreizfuß - Füße schlafen ein

Spreizfuß - Füße schlafen ein

1
Hallo zusammen,

ich laboriere nun schon eine ganze Zeit (> 1 Jahr) mit einschlafenden Füßen herum.
Ich habe es Anfangs mit immer wieder neuen Schuhen probiert aber auch der dritte komplett andere Laufschuh hat keine Hilfe gebracht. Nach max. 30 Minuten sind mit immer die Füße eingeschlafen. Umso mehr es bergauf geht und umso schneller ich laufe umso schneller schlafen meine Füße ein.

Vor ein paar Wochen habe ich nun endlich mal von einem Orthopäden die Diagnose Spreizfuß bekommen welcher wohl dafür sorgt das im Vorfußbereich (Quergewölbe) bei mir Nerven zu wenig Platz haben. Ich habe Einlagen verschrieben bekommen welche ich mittlerweile auch ausprobiert habe.

Leider haben diese nicht geholfen. Mein kompletter Fuß sitzt irgendwie anders im Schuh und im Vorfußbereich soll auch eine leichte Erhebung eingebaut wordens ein aber nach 30 Minuten war ein Fuß wieder fast tot. Es ist minimal besser geworden aber mein Ziel einen HM zu laufen kann ich mir so immer noch abschminken.

Meine Mutter läuft seit Jahren und hat das selbe Problem. Ich habe Ihre Fußform geerbt und nun wohl auch die gleichen Probleme. Bei Ihr haben Einlagen auch nie wirklich geholfen.

Zur Zeit laufe ich den Asics GT-2000, außerdem habe ich noch den ON Cloudsurfer.
Diverse Übungen zum Fußtraining habe ich mir schon angesehen und werde diese nun angehen.


Nun hätte ich mal ein paar Fragen an euch. Vielleicht habt Ihr ja Erfahrungen damit und Tipps für mich?

- Gibt es Laufschuhe die bei Spreizfüßen unterstützend wirken?
- Kann man durch Übungen für den Vorderfuß / Quergewölbe solche Probleme komplett in den Griff bekommen und wenn ja wie lange muss mein Atem dafür sein?
- Bringen bestimmte Laufstilübungen Besserung und wenn ja welche?
- Helfen bestimmte Streckenprofile (Straße, Wald, Trail,...) bei der Stärkung der Füße?
- Forcieren Einlagen in normalen Halbschuhen mit Pronationsstütze einen Spreizfuß bzw. welche Einlagen sollte ich im Alltag nehmen?

Vielen Dank für eure Kommentare und Tipps.

LG
Constantin

2
Hallo Constantin
Es gibt hier im Forum leider so einige Spreizfußgeplagte, mich eingeschlossen.
Nach meinem Wissen und eigener Erfahrung würde ich folgende Tips geben:

1. Trainieren:
Kräftigen des Gewölbes durch Spiraldynamik nach Dr. Christian Larsen.
Entgegen üblicher Meinung kann man da durchaus etwas tun, allerdings sind die üblicherweise empfohlenen
Übungen (Handtuch mit den Zehen greifen etc..) nicht sinnvoll.
Ich hab die Übungen regelmäßig (tgl) über einen langen Zeitraum gemacht und zwar barfuß, nicht mit Schuhen.

Barfuß-Übungen wie sie üblicherweise hier oft empfohlen werden.

Kippelbrett oder Airex-Kissen: Gleichgewichtsübungen (auch barfuß).

Was das Schuhwerk betrifft :
Je weicher der Schuh, also je mehr gedämpft desto schlechter für den Fuß (die allgemeinen
Empfehlungen sind da entgegengesetzt). Das hat damit zu tun, daß im Fuß sehr viele Nerven sind
die dich befähigen, den Gang/ Laufstil dem Untergrund anzupassen.'
Sind die Schuhe zu stark gedämpft, trittst du stärker auf als mit sehr geringer Dämpfung, dadurch
werden die Füße nicht geschont sondern mehr beansprucht.
Ist die Dämpfung sehr gering, verändert sich sofort der Laufstil in eine bessere Richtung, weil die
Füße das viel besser erkennen (Propriozeption) und durch den Laufstil ausgleichen.

Für die Einlagen würde ich (falls noch nicht geschehen) zu einem orthopädischen Schuhmacher
gehen der die Füße jedes Mal scannt und Veränderungen/ Fortschritte aufzeigen kann.
Entgegen einer 08/15-Einlage wäre so eine Einlage auch sehr individuell auf genau deine Füße
und deren Statik zugeschnitten. Bei den Schuhen brauchst du dann nur noch Neutralschuhe nehmen
und bist sehr flexibel was die Marke betrifft.

Also zusammengefasst: außerhalb des Laufens: Füße kräftigen, beim Laufen: individuell angepaßte
Sohle mit geringer Dämpfung.

Gruß Rolf
13.5.07 : HM des Karstadt-Marathon : 2.14 h
02.12.07 : HM Bertlicher Straßenlauf : 1.58h
18.05.08 : HM des Karstadt-Marathon: 2:04h
30.11.08 : Marathon in Bertlich : 4:34h
12.09.10 : Münster Marathon : 4:28h

3
ck_coke hat geschrieben:Hallo zusammen,

ich laboriere nun schon eine ganze Zeit (> 1 Jahr) mit einschlafenden Füßen herum.
Ich habe es Anfangs mit immer wieder neuen Schuhen probiert aber auch der dritte komplett andere Laufschuh hat keine Hilfe gebracht. Nach max. 30 Minuten sind mit immer die Füße eingeschlafen.
Hallo Constantin,

hast Du das Laufen mal ohne Schuhe probiert? Schlafen die Füße dabei auch ein?
Vor ein paar Wochen habe ich nun endlich mal von einem Orthopäden die Diagnose Spreizfuß bekommen welcher wohl dafür sorgt das im Vorfußbereich (Quergewölbe) bei mir Nerven zu wenig Platz haben.
Nach einigen Jahren sportlicher Arbeit mit barfuß laufenden Menschen bin ich mehr und mehr davon überzeugt, dass sogenannte "Fußfehlstellungen" wie Knick-, Senk, Spreiz- oder Hohlfüße außerhalb von Schuhen keine nennenswerte Bedeutung haben.

Ich lade Dich ein, am 3. Mai nach Marburg zu meinem kostenlosen Barfußlauf-Seminar zu kommen. Dort kannst Du gemeinsam mit anderen die Alternative ausprobieren.

Viele Grüße und einen schönen Rest-Sonntag von
Martin
Die Laufschule Marburg
Twitter
Video-Anleitung zur Selbsthilfe bei Überpronationsproblemen

"Barfuß - das ist ehrlich!" (Zuschauer eines Straßenlaufs in Marburg, während ihn eine Barfußläuferin passiert)

Persönliche Bestzeiten

5.000 m (Bahn) in 21:39 (barfuß) - Bahnlauf des ASC Breidenbach, 6.9.2013
10.000 m (Bahn) in 45:14 (barfuß) - Kreismeisterschaften in Eschenburg-Eibelshausen, 09.10.2015
10 km (Straße) in 46:16 (barfuß) - 31. Marburger Ahrens-Stadtlauf, 29.9.2013
HM in 1:41:53 (barfuß) - 16. Schottener Stauseelauf, 5.10.2013

4
ich habe das fast gleiche Problem gehabt, bei mir hat ein härterer Schuh mit gleichzeitig geringer (4mm) Sprengung geholfen
12.05.2007 / 12.05.2012 / 09.04.2013 / 27.05.2017
...an Tagen wie diesen, wünscht man sich Unendlichkeit
An Tagen wie diesen, haben wir noch ewig Zeit
In dieser Nacht der Nächte, die uns soviel verspricht
Erleben wir das Beste, kein Ende ist in Sicht
(Toten Hosen)
__________________________________________

BIG 25 Berlin 2015 HM 2:14:xx

5
Bin auch Spreizfuß (und abklingende Plantarfasziitis) geplagt und laufe mit sensomotorischen Einlagen. Habe auch festgestellt, dass die Beschwerden in meinen Brooks Defyance stärker sind als in den direkteren Mizuno Inspire.

Grüße!

7
Hallo zusammen,

da ich leider immer noch nicht von einer Verbesserung sprechen kann möchte ich dieses Thema hier noch einmal herauf holen.
Hat noch jemand das Problem das Ihm/Ihr so wie mir die Füße wirklich richtig einschlafen?

Mittlerweile laufe ich einen Mizuno Wave Inspire 11 der mit der beste ich den ich je hatte aber leider die Einschlafprobleme nicht gemindert hat.
Barfuß habe ich auch mal ausprobiert. Außer einer dicken Blase direkt unter dem Fußballen keine Änderung. Ebenfalls Einschlafprobleme.

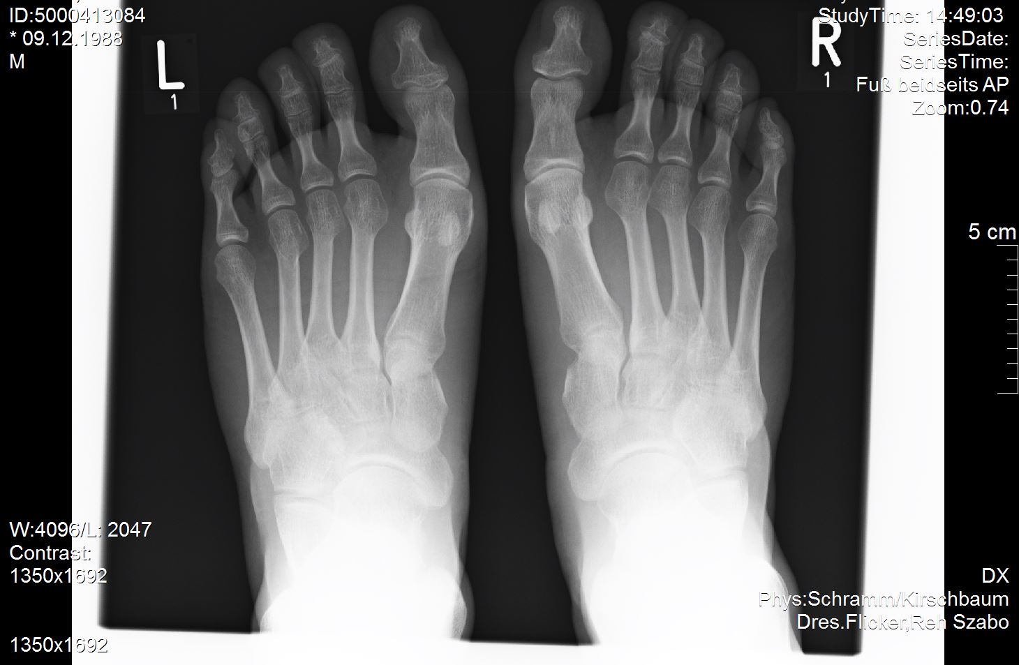
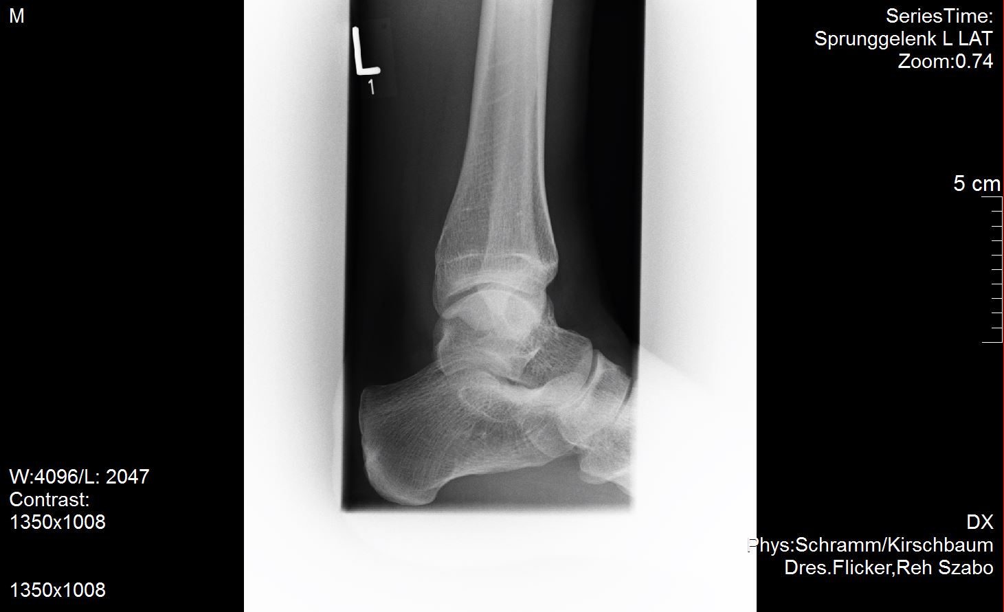
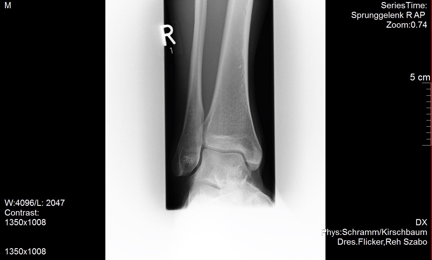
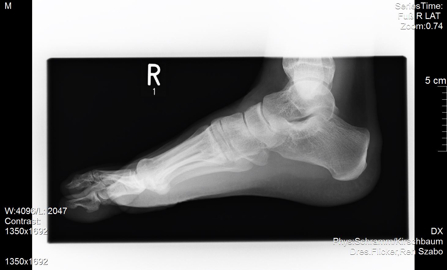
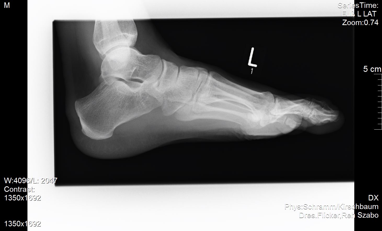
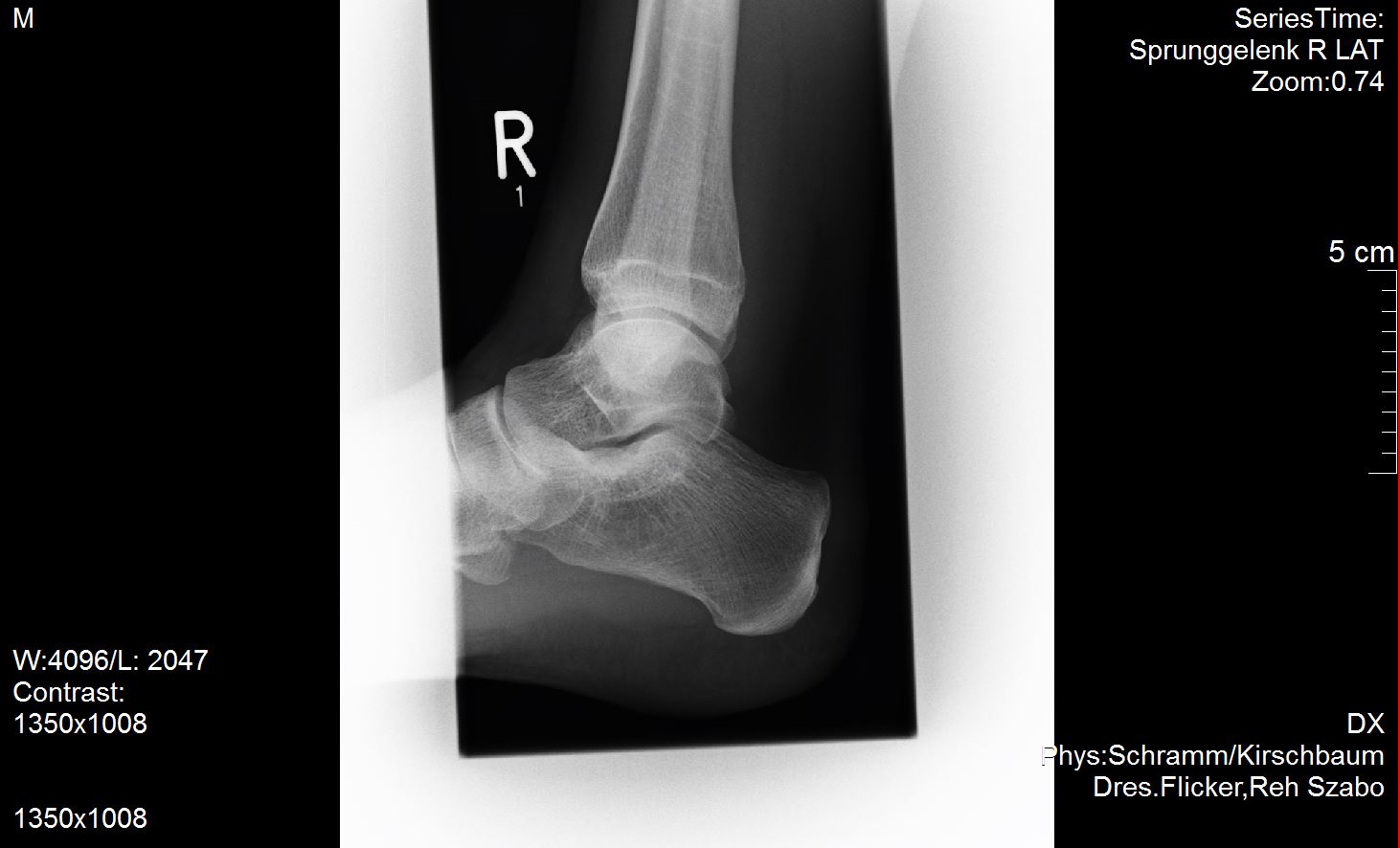
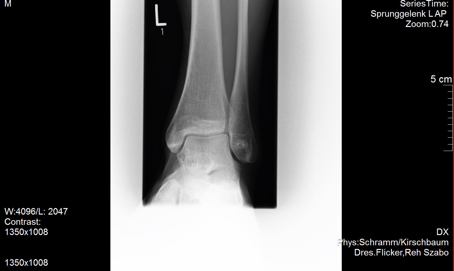
Ich versuche mal meine Röntgenbilder anzuhängen. Vielleicht ist ja ein Experte unter uns der dazu was sagen kann?
Ich habe außer dem mir diagnostizierten Spreizfuß nach oben stehende Zehen. Weiß nicht genau ob man dies Hammerzeh oder Krallenzeh nennt was ich habe aber es geht in die Richtung.

Vielen Dank schon mal für jede Antwort.

8
Schon mal bei einem sportärztlichen gewesen?
Gewichtschallenge:
71 kg (Start: Januar 2018)................aktuell: 65,9 kg.................63 kg (Ziel)

PB: 5 km (April 2015, Bahn): 19:38 min; 8 km (Novmeber 2014): 32:26 min; 10 km (Juli 2015): 40:16 min; 15 km (Februar 2015) 1:04:52 h; HM (Juni 2013): 1:29:01 h; M (April 2015: 3:16:25 h)
Antworten

Zurück zu „Gesundheit & Medizin“