Banner

Chronische Entzündung derHallucis Longus Sehne. Help!!!

Chronische Entzündung derHallucis Longus Sehne. Help!!!

1
Hallo zusammen,

ich gehöre nicht zu denjenigen, die nach kleinen Wehwehchen einen Thread starten, aber nach 4,5 jähriger Ärzteodysee und schierer Verzweiflung wende ich mich (34 Jahre) an die Community und bin voller Zuversicht, dass ich hier den entscheidenden Tip erhalte :winken: Bitte liest beide Teile. 1 Teil hört sich wie eine übliche Achillessehnenentzüdnungsgeschichte an.
Teil 1: Kurz zu meiner Beschwerdenhistorie. Bin von Kindesbeinen an ein begeisteter Sportler und spielte regelmässig bis zu meinem 29 Jahr Fussball auf Bezirksliganiveau.
Mit Ende 29 / Anfang 30 habe ich mir dann die erste VERMEINTLICHE Achillessehnenentzündung "erlaufen". Nach einer zermürbenden Ärzteodysee und der immer gleich lautenden Diagnose "Achillodynie", begann ich stets voller Hoffung die Therapieratschläge der Orthopäden/Physios umzusetzen. Die folgenden Therapien werden wohl vielen Geplagten bekannt sein (Keile, Diclofenac, Wechslebäder, Laser, Stabilisationsübungen, Dehnübungen an der Treppe, Schuheinlagen, Quarkumschläge etc. etc.). Auf Operationen und Injektionen habe ich vor Angst auf Nebenwirkungen verzichtet. Das Ergebnis war jedoch stets das gleiche: nach 6-8 Wochen Training schwoll der Bereich der Achillessehne an und ein 3-4 monatiger Trainingsstopp musste folgen. Bis heute kann ich nicht schmerzfrei laufen bzw. muss nach spätestens 8 Wochen eine unverhältmässig lange Pause einlegen.
Auch der obere Teil der Wadenmuskulatur ist steinhart!!! Lässt sich nicht locker machen...bzw verkrampft nach 2-3 Trainigsenheiten wieder.

Teil 2: VOR 3 WOCHEN DER SCHOCK:
Als ich meinen Hausarzt zwecks einer Krankschreibung aufsuchte, da ich aufgrund akuter Schmerzen nicht arbeiten gehen konnte, habe ich eher zufällig meinem Hausarzt die beiden MRT-Bildreihen gezeigt, die von meinem Fuss Anfang 2013 und Ende 2014 erstellt wurden.
Mir als Laie haben die beiden MRTs keinerlei Aufschluss gegeben, er hat aber nur direkt gemeint: Er sieht zwar Entzündungen/ Wassereinlagerungen, aber nicht an der Achillessehne (die Achillessehne hat keinerlei Schäden gezeigt) sondern an der Hallucius Longus Sehne!!! D.h. 1 x Mal an der Fussohle und 1 x Mal auf der Höhe des Fersenansatzes.

Meine Frage:
Hat sich vielleicht jemand von euch ebenfalls mit einer Entzüdung der Hallucis Longus Sehne gequält? Wie habt ihr es wieder hinbekommen schmerzfrei Sport zu treiben? Würde mich super freuen wenn ihr mir auch einen kompetenten Doktor empfehlen könntet.


Freue mich auf alle Anregungen!!

Danke & Grüße

John111

2
hatte Deine Probs nicht, aber m.E. ist der extensor hallucis longus der Grosszehenstrecker; setzt am Schienbein an und läuft nicht unter dem Fuß :confused:


edit:

ach so, du meinst wohl den flexor
Stell doch deinen Beitrag mal bei Sandrina rein

3
Kennt dein Hausarzt keinen Spezialisten?
Nachdem er die Diagnose gestellt hat, dürfte er ja nicht ganz unerfahren sein.
Was mir noch nicht ganz klar ist, wer hat die Bilder in Auftrag gegeben und welche Diagnose wurde von wem gestellt?
Ich weiß, dass die Stimmen in meinem Kopf nicht real sind, aber sie haben so wahnsinnig gute Ideen
Ein bisschen TRI schadet nie.
Bild

4
John111 hat geschrieben: ... ich gehöre nicht zu denjenigen, die nach kleinen Wehwehchen einen Thread starten, aber nach 4,5 jähriger Ärzteodysee und schierer Verzweiflung ...
Wenn ich mir deine Geschichte durchlese, ist da außer der Odyssee nichts passiert. Die getroffenen Maßnahmen sind weitgehend non-invasiv gewesen, geholfen haben sie nicht, dir aber auch keine bleibenden Schäden zugefügt.

Du warst von Zeit zu Zeit in der Lage zu trainieren - Fußball auf hohem Niveau - schreibst von immerhin acht Wochen, danach wieder längere Pause von mehreren Monaten. Hier liegt wahrscheinlich der Hase im Pfeffer. Was hast du wie trainiert und wie hast du die Pausen gefüllt?

Gestern hatte ich ähnliche wie die von dir beschriebenen Schmerzen, konnte kaum einen Schritt schmerzfrei gehen, an laufen war nicht mehr zu denken. Daher habe ich heute mal probiert, ob Radfahren noch möglich ist und es ging gut (genug), damit war ich erst mal beruhigt. Ob es die Achilles- oder andere Sehnen, Bänder, Knochen oder Muskeln betrifft, ist mir nicht wichtig, irgendwas im Bereich der Ferse ist aus dem Lot.

Wenn du nicht einseitig auf hartes Fußballtraining fixiert bist, würde ich dosiert in Bewegungen einsteigen, die dir weitgehend schmerzfrei möglich sind, zunächst da langsam steigern und schließlich zur Krönung wieder laufen. Der Körper ist ein fein abgestimmtes System, das sich selbst regelt, solange man dich nicht von der Straße kratzen muss. Geduld, Zuversicht, Gottvertrauen fördern die Heilung, die ich dir bald wünsche.
Grüße von der Baltischen See! Laufen/Wandern barfuß erleben - Zu Fuß - am besten barfuß - hält die Seele Schritt.
Je länger die Strecke, desto unbedeutender die Zeit, da allein die Streckenbewältigung zur eigenen Leistung wird.
:)
Bild
Bild

5
HI zusammen,

@binoho: ja meine den Flexor.

@Raffi. Die MRT Bilder haben jeweils 2 verschiedene Orthopäden in Auftrag gegeben. Mein Hausarzt kennt sich nicht wirklich aus. Die MRT Diagnose kam halt beim ihm in der Praxis an. Und er hat mir dann den Befund vorgelesen bzw. die MRT Bilder/Arztbrief ausgehändigt.

@barefooter: ja du hast vollkommen recht. Ausser Spesen nichst gewesen. Mittlerweile spiele ich auch keinen Fussball mehr, weil es zu depremierend ist anzufangen wieder aufzuhören anzufangen und wieder aufzuhören etc. Deshalb habe ich natürlich auch alternative sportliche Bewegeungen ausgeübt: bei diesen nicht intensiven Sportarten wie Schwimmen, Radeln, etwas volleyball spielen werden zumindest mein 1 Schmerzpunkt (oberer Teil Wade aussen) und 2 Entzündungspunkte in der Hallucis Longus Sehne 1 x Mal an der Fussohle und 1 x Mal auf der Höhe des Fersenansatzes nicht so beansprucht, dass ich da zumindes diese 3 Sportarten mit leichter Intensität einigermassen gut durchführen kann.

Aber ich fühle mich zu jung um mit meinen beiden Herzensangelegenheiten Fussball und Joggen jetzt schon aufzuhören. Das ist sehr deprimierend

Werde morgen das Mrt Bild reinstellen und bei Sandrina das Thema eröffnen.

Schon mal danke an alle.

6
Was ist mit der Wade? Hat das schon mal ein Physiotherapeut ausgiebig begutachtet/behandelt? Wenn ein Muskeln immer wieder derart zu macht, wird das doch Ursachen haben bzw. sollte dagegen etwas zu tun sein. Ein permanent verspannter Muskel belastet selbst beim Gehen die beteiligten Sehnen über Gebühr, beim Laufen natürlich um so mehr.

Gruss Tommi

7
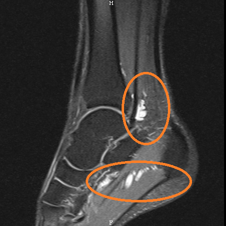
@dicke Wade, tatsächlich wurden in der Physiotherapie immer nur Stabilisations- und Dehnübungen gezeigt. Ohne Erfolg. Paarmal wurde die Wade "massiert" aber rückblickend eher gestreichelt.

Habe nun die MRT Bilder angehängt. Darauf sieht man ganz deutlich die Wassereinlagerung um die Hallucis Longus Sehne, in der Fusssohle und auf der Höhe des Achillessehnenansatzes.

Eine Frage an die Experten hier
: Ist es möglich die Wassereinlagerungen/Entzündungen rauszusziehen oder durch Injektionen zu beseitigen (Ich weiss: kein Cortison spritzen).

Habe heute nochmal einen Therapieversuch gestartet und war beim Ostepathen/Physio. Der erste der mich etwas länger angeschaut hat. Er meinte, dass ich ein Beckenschiefstand habe und dadurch mein rechtes Bein ca. 2 cm kürzer ist als das linke. Es könnte laut ihm gut sein, dass das der Grund warum die Wade am oberen Stück verhärtet und die Entzündungen verursacht. Er wird in den nächsten Sitzungen den Beckenschiefstand beseitigen und die Beinlngen auf gleiche Längen bringen. Anschliessend soll die Verhärtung angegangen werden. Was meint ihr? Könnte es sein? Für mich machts irgendwie einen Sinnn..hoffentlich...
Dateianhänge

[Die Dateierweiterung pdf wurde deaktiviert und kann nicht länger angezeigt werden.]

8
Das liest sich nach einem guten Ansatz. Ursache beseitigen und die Folgen behandeln. Was mit den Wassereinlagerungen ist, habsch keine Ahnung.

Gruss Tommi
Bild


Bild


Mein Tagebuch: forum/threads/96079-Die-dicken-Waden-der-dicken-Wade

"Unser Denken bestimmt unsere Wahrnehmung und unser Verhalten. Wenn wir uns nur auf das konzentrieren, was uns missfällt, werden wir auch viel Schlechtes sehen, dementsprechend über die Welt denken und unser Verhalten danach ausrichten. Menschen, die sich auf das Schöne konzentrieren, sind folglich zweifelsfrei glücklicher."

Thorsten Havener

9
Es ist schon was her, aber wie ist die Sache weitergegangen @John111? Mir wurde heute dasselbe diagnostiziert (davor war immer die Rede von einer Schleimbeutelentzündung).

10
Laufoemmel hat geschrieben:Es ist schon was her, aber wie ist die Sache weitergegangen @John111? Mir wurde heute dasselbe diagnostiziert (davor war immer die Rede von einer Schleimbeutelentzündung).
Ich kann dir leider nicht mit der genauen Diagnose weiterhelfen, allerdings hatte ich lange Zeit ein Problem mit einer Schambeinentzündung. Nach wochenlanger Zwangspause kam langsam die Hoffnung einer Besserung auf, mit der ersten Belastung kamen aber sofort die Schmerzen zurück.

Bis dahin hatte ich erst einmal nur Ibuprofen genommen (wohl die typische Reaktion der Ärzte bei Entzündungen), was aber immer nur sehr kurzfristig geholfen hat. Währenddessen habe ich dann noch mit einem befreundeten Apotheker gesprochen, der mir empfohlen hat Kurkuma und Omega 3 zu nehmen. Ich kann dir leider nicht genau sagen, was von den beiden Sachen mir langfristig die Erlösung gebracht hat, aber wenn man lange genug unter den Schmerzen leidet versucht man so einiges.

Eventuell kann dir das auch weiterhelfen, ich wünsche dir auf jeden Fall eine gute Besserung :) chronische Schmerzen sind immer unschön.

14
dicke_Wade hat geschrieben:Der Omegadreck aber :P [...]i
Also ich fand den Opel Omega gar nicht mal so schlecht... hatte mal einen als Leihwagen... :zwinker2:

16
dicke_Wade hat geschrieben:Ha, da hat der Lümmel endlich seine Scheißwerbung abgesondert! :kotz: Dass ihr Trottel auch immer so durchschaubar seid! :klatsch:
Ähm... danke für die netten Worte? :confused:

17
OnlyM hat geschrieben:Ähm... danke für die netten Worte? :confused:
Der Spammer bedankt sich wenigstens zum Abschied. :D
"Ich habe es immer geliebt, zu laufen. Es war etwas was man einfach so machen konnte. Du konntest in jede Richtung laufen, schnell oder langsam, gegen den Wind ankämpfen wenn du wolltest, neue Umgebungen kennenlernen mit der Kraft deiner Füße und dem Mut deiner Lungen." (Jesse Owens)

Wichtiger Hinweis: https://joachim-zelter.de/wp-content/up ... /PDF.9.pdf

18
OnlyM hat geschrieben:Ähm... danke für die netten Worte? :confused:
Dass du dich hier weiter beteiligst, spricht gegen einen typischen Spamaccount. Aber wie du siehst sind wir hier von den zahlreichen Spam-Links ziemlich genervt. Daher auch diese heftigen Reaktionen. Nun, ich habe die Links entfernt.
Viele Grüße
Tim

20
Tim hat geschrieben:Dass du dich hier weiter beteiligst, spricht gegen einen typischen Spamaccount. Aber wie du siehst sind wir hier von den zahlreichen Spam-Links ziemlich genervt. Daher auch diese heftigen Reaktionen. Nun, ich habe die Links entfernt.
Diese Einstellung ist mir schon häufiger aufgefallen, du kannst sie auch gerne durch andere Links ersetzen. Das sollte nur dazu dienen, dass sich die betroffene Person darüber informieren kann, warum und wie Kurkuma und Omega 3 bei Entzündungen helfen können :daumen: finde ich eigentlich immer ganz hilfreich.

Was für Links darf ich denn posten, ohne Gefahr zu laufen, angeprangert bzw. gelyncht zu werden?

21
OnlyM hat geschrieben: Was für Links darf ich denn posten, ohne Gefahr zu laufen, angeprangert bzw. gelyncht zu werden?
Eine Woche und keine 10 Posts im Forum und schon zwei Links gesetzt. Egal, was für Links das sind, es ist ganz typisches Spammerverhalten. Wenn du ein "normaler User" sein solltest, wirst du mit dem kurzzeitigen, falschen Verdacht leben können.

Gruss Tommi

22
OnlyM hat geschrieben:Was für Links darf ich denn posten, ohne Gefahr zu laufen, angeprangert bzw. gelyncht zu werden?
Warum willst du denn Links posten? Ist doch völlig unnötig. Ist es so schwer Sachverhalte in eigene Worte zu fassen?

Ansonsten kann man sagen, generell mögen die User es nicht wenn Seiten verlinkt werden, die vorrangig das Ziel haben das verlinkte zu verkaufen. Es sei denn es ist ein Laufsportutensil (NEMs und sonstige Zusatzprodukte schließe ich hier explizit aus, die haben mit laufen nicht unmittelbar was zu tun) dann am besten noch auf der Herstellerseite selbst. Ausnahmen sind natürlich der Schnäppchenthread oder wenn ein User explizit in einer bestimmten Stadt nach einem Händler sucht.
Bild
Über mich
wo ich herkomme Am Anfang war da der Bauchspeck und wo ich zuletzt gelaufen bin Joels Daily Challenge - Streakrunning

23
JoelH hat geschrieben:Warum willst du denn Links posten? Ist doch völlig unnötig. Ist es so schwer Sachverhalte in eigene Worte zu fassen?
Gerade bei medizinischen und pharmazeutischen Themen finde ich es nicht ganz so einfach die Wirkungsweisen selber darzustellen. Aber ich werde mein Bestes geben und ich hoffe, dass ich dann nicht dafür verurteilt werde, wenn es nicht ganz richtig wiedergegeben ist :wink:

24
OnlyM hat geschrieben:Gerade bei medizinischen und pharmazeutischen Themen finde ich es nicht ganz so einfach die Wirkungsweisen selber darzustellen.
Dann lass es doch. Der Thread ist von 2016, das interessiert keinen Menschen mehr. Da ist es absolut unnötig noch etwas zu posten.

Und wenn du einmal deinen Stempel weg hast, dann bekommst du den nicht mehr so leicht los.
Bild
Über mich
wo ich herkomme Am Anfang war da der Bauchspeck und wo ich zuletzt gelaufen bin Joels Daily Challenge - Streakrunning

26
RunningPotatoe hat geschrieben:Respekt, das ist wirklich die hohe Schule des Spammens - den Moderator dafür einspannen, dass er die Spamlinks gefälligst selber setzen soll. :hihi:
Eventuell sollte ich ihm per privater Nachricht ein paar Vorschläge schicken :nick:
Antworten

Zurück zu „Gesundheit & Medizin“