Liebe Community,
ich schildere euch hier tagebuchartig meinen Krankheitsverlauf, weil ich das Gefühl habe, meine Erfahrungen könnten anderen nützlich sein.
Was ist passiert?
Ich bin 29 Jahre alt, normaler Körperbau und habe viel Sport getrieben. Ich war häufig laufen, wobei ich Strecken zwischen 8 und 22 km absolviert habe. Fußball habe ich seit dem 6. Lebensjahr gespielt, zuletzt in der Kreisliga. Dabei haben wir zwei Mal pro Woche trainiert und hatten sonntags Punktspiele. Im Punktspiel vor 4 Wochen hat sich beim laufen das Bein überstreckt und dem Gefühl nach, ist irgendwas im Knie kaputt gegangen. Ich hatte in diesem Moment keine Idee, was das sein konnte. Das Knie war in der Röntgenaufnahme unauffällig, allerdings zeigte das MRT (Kernspin), dass ein größeres Stück Knorpel herausgebrochen war und im Kniegelenk lag. Eine OP musste her und es ging alles innerhalb von 24h. Mein Arzt (Orthopäde) entschied, eine Mikrofrakturierung vorzunehmen, worauf ich gleich nochmal eingehen werde. Mein Arzt war lange Jahre der Teamarzt eines Bundesligavereins. Zu diesem Zeitpunkt hatte ich mich noch kaum mit dem Knorpelschaden und der Behandlung beschäftigt und somit willigte ich ein.
OP: Mikrofrakturierung am rechten Knie
Ich gehe im Folgenden auf die Mikrofrakturierung´, die auch als Chondropicking bezeichnet wird, ein. Bei der Mikrofrakturierung handelt es sich um ein minimal-invasives Verfahren. Invasiv kommt dabei von Invasion = Eindringen. Es ist also hierbei keine Operation am offenen Kniegelenk notwendig, sondern es wird atroskopisch gearbeitet. Eine kleine Kamera wird von der einen Seite ins Kniegelenk eingeführt und von der anderen Seite wird operiert (also zwei kleine Schnitte). Zuerst wurde die Stelle, wo der Knopel herausgebrochen ist "geshapet" also rasiert, damit nicht weiterer Knorpel von den Fransen her herausbröckelt. Dann werden mit einer kleinen Ahle einige Löcher in den Knochen gebort, bis vom Knochenmark her eine Zellflüssigkeit (Fibrin) "einblutet". Man bezeichnet das auch als Knochenöl. Diese Substanz legt sich auf die Stelle des freiliegenden Knochens und soll in den kommenden Wochen eine Art Ersatzgewebe bilden. Dies muss gemacht werden, weil es sich beim Knorpel um nichtdurchblutete Substanz handelt. Der Körper kann bei erwachsenen Menschen diese Masse in diesem Ausmaß nicht neu bilden. Durch das Bohren wird dem Körper der Defekt aufgezeigt und ihn quasi darum gebeten, etwas dagegen zu tun. Naja und das, was der Körper in diesem "Bioverfahren" amchen möchte, ist eben die Bildung dieses Ersatzgewebes. Hierbei taucht schon meine erste Unsicherheit auf. Natürlich halte ich diesen Schritt für versuchswürdig, aber dieses Ersatzgewebe ist selvst wenn es erfolgreich gebildet und angenommen wird, bei weitem nicht so wirksam wie Knorpelgewebe und dazu noch degenerativ, sodass möglicherweise in den nächsten Jahren wieder Probleme auftauchen können.
Nach der OP?
Nach einem ambulanten Eingriff, durfte ich nach 3 Stunden auf Krücken die Klinik verlassen. Es ging mir ganz gut, wobei natürlich schon auch Schmerzen da waren, die aber auszuhalten waren. Der Toilettengang war schwierig, aber es ging. Die Nacht war durch einen Keil unter dem Bein ganz erträglich. Der Rücken und die Haken tun halt irgendwann weh.
Nun darf ich das Bein 6 Wochen nicht belasten und dann folgen 6 weitere Wochen mit lediglich 20 kg Teilbelastung, die langsam aufgebaut werden müssen. Hierbei entscheidet sich, ob die Methode anschlägt, oder nicht. Je mehr Schonung desto besser.
Woche 1:
Ich wurde auf unbestimmte Zeit krankgeschrieben. Mir ging es psychisch (nicht unbedingt körperlich) beschissen, weil ich realisierte, dass ich wohl nie wieder Fussball spielen würde - eine sehr große Säule in meinem Leben bricht weg. Wenn es mir mal schlecht ging, weshalb auch immer, bin ich zum Training gefahren und danach war es wieder besser. Das war sehr schwer zu akzeptieren.
Gottseidank wurde es körperlich jeden Tag ein wenig besser und ich konnte auch zunehmend durchschlafen. Für das Bein bekam ich eine Bewegungsmaschine. Dort legt man das Bein hinein und sie führt passive Beugungs- und Streckungsübungen durch. Jeden Vormittag eine Trombosespritze - das nervt natürlich, ist aber erträglich. Ich war sehr froh über Netflix und Olympia, was mich ein wenig ablenken konnte. Mehr ging nicht. Abends ist einem sehr schumrig und man ist froh irgendwann im Bett zu liegen. Dadurch, dass man nicht auftreten kann, spielt der Körper bezüglich Gleichgewicht verrückt. Ich muss jeden Tag morgens und abends je eine Tablette Diclofenac nehmen. Das ist ein entzündungshemmendes Mittel.
Woche 2:
Auch in der zweiten Woche hatte ich psychische Probleme - wie soll es ohne Fussball weitergehen? Ich konnte es mir nicht vorstellen. Ich begann meine Recherchen. Was kann man tun, um wieder auf den Platz zu kommen? Man sieht hier schon den Prozess,,,,von "ich möchte nur wieder gehen können" zu "ich will wieder spielen". Als weitere Methoden kann eine Chondrozytentransplantation oder auch eine Mosaikplastik durchgeführt werden. Wenn du dich dafür interessierst, dann google mal danach. Ich werde erst zu späteren Zeitpunkten nochmal darauf eingehen und diese Methoden erklären und was meine behandelnden Ärzte dazu sagen. Ich habe mir Präparate besorgt, die den Knorpel füttern und das Ersatzgewebe stabilisieren sollen: Grünlippmuschel (stinkt ein wenig fischig, ist aber sehr verträglich), Omega 3 Fettsäuren und Vitamine. In dieser Woche wurden mit die Fäden gezogen - ein gutes Gefühl. Nun sind alle Fremdkörper raus! Das Blut muss auch wöchentlich gecheckt werden, ob es nicht zu dünn ist (durch die Spritzen). Mein Zustand wird von Tag zu Tag besser. ich werde beweglicher und es zwickt nicht mehr im Knie.
Woche 3:
Viele Freunde und Familienmitglieder waren zu Besuch oder haben angerufen. Das hilft sehr. Ich habe mit Ihnen darüber gesprochen und neuen Mut gefasst. Das Bewusstsein, dass es noch Methoden gibt, die mir helfen können, falls das Chondropicking nicht anschlägt, hat mich sehr stabilisiert. Ich habe schon ganz vergessen, wie es ist normal zu laufen, aber auch mit den Krücken wird man immer raffinierter und schneller und vor allem einfallsreicher. Man ersetzt die früheren Tätigkeiten durch andere, die halt gehen. Mittlerweile arbeite ich wieder von zu Hause aus und das führt zu einem reregelten Alltag ohne Langeweile und das hilft sehr, damit die Tage vergehen. Am Ende der dritten Woche hatte ich einen Arzttermin. Das Knie hat sich gut entwickelt. Der Arzt hat mir Krankengymnastik aufgeschrieben, die ich zum Anfang der vierten Woche starten werde. Er hat gesagt, dass ich gerne Fahrrad fahren darf, wenn ich mir das zutraue. Auch Auto fahren sei möglich, wenn ich möchte, weil die Bewegungen ja eher aus dem Fußgelenk kommen. Das hat mich überrascht und ich halte es für eigentlich etwas früh. Ich denke ich werde es erst nach Ablauf der ersten 6 Wochen machen. Mir geht es ganz gut, weil mich die Arbeit ablenkt. Gedanken an Fussball oder ans Laufen versuche ich zu verdrängen. Nach Woche 3 habe ich den Entzündungshemmer Diclofenac absetzen dürfen.
Soweit der Stand. Ab jetzt berichte ich jede Woche über meine Entwicklung.
2
Woche 4:
Das Knie sieht gut aus. Keine Schwellungen und keine Verhärtungen. Ein Termin beim behandelnden Arzt brachte überraschende Neuigkeiten. Ich dürfe Fahrrad fahren, wenn ich es mir zutrauen würde. Na klar. Gerne! In dieser Woche hatte ich zum ersten Mal Krankengymnastik (ab jetzt 2-3 mal pro Woche). Ich nahm also meinen großen Backpacking Rucksack und stöckselte zum Fahrrad. Dort verstaute ich die Krücken im Rucksack und fuhr ca. 6min zur KG. Das war super schön und fühlte sich nach Leben an. Die KG war angenehm. Das Knie lässt sich zwar leider noch nicht gut beugen, aber das kommt davon, wenn man es jetzt fast 5 Wochen kaum bewegt hat. Die Bänder fühlen sich unelastisch an und blockieren den Beugungsvorgang. Meine Physio Birgit hat mit ein paar Übungen für zu Hause gezeigt: Seitliches hinlegen und das betroffene Bein hochziehen. Dann noch im liegen Fahrrad fahren. Auf dem Rücken liegend die Fußspitze heranziehen und das Bein durchgestreckt hochziehen. Das mache ich jetzt 3 mal täglich.
Hier habe ich mal ein Bild, von den Präparaten, die ich nehme:
Leinenöl mit Omega 3, Grünlippmuschel, Ackerschachtelhalm, Glucosamine/Chondroitin, Vitamine etc.
Das ist relativ viel, wird aber hoffentlich der Knorpelersatzschicht helfen, sich zu bilden.
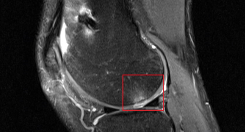
Hier siehst du noch ein MRT Bild, 2 Tage nach dem Trauma. Ich habe mal kenntlich gemacht, wo das Stück herausgebrochen ist und wie groß es ist. Man sieht hier gut, dass es lateral hinter der Partella herausgebrochen ist und im Gelenk "herumlag". Man kann auch gut erkennen, weshalb es bei der Überstreckung an dieser Stelle herausgebrochen ist.
In den nächsten Wochen erzähle ich euch mehr zu den einzelnen Behandlungsmethoden bei Knorpelschaden.
Das Knie sieht gut aus. Keine Schwellungen und keine Verhärtungen. Ein Termin beim behandelnden Arzt brachte überraschende Neuigkeiten. Ich dürfe Fahrrad fahren, wenn ich es mir zutrauen würde. Na klar. Gerne! In dieser Woche hatte ich zum ersten Mal Krankengymnastik (ab jetzt 2-3 mal pro Woche). Ich nahm also meinen großen Backpacking Rucksack und stöckselte zum Fahrrad. Dort verstaute ich die Krücken im Rucksack und fuhr ca. 6min zur KG. Das war super schön und fühlte sich nach Leben an. Die KG war angenehm. Das Knie lässt sich zwar leider noch nicht gut beugen, aber das kommt davon, wenn man es jetzt fast 5 Wochen kaum bewegt hat. Die Bänder fühlen sich unelastisch an und blockieren den Beugungsvorgang. Meine Physio Birgit hat mit ein paar Übungen für zu Hause gezeigt: Seitliches hinlegen und das betroffene Bein hochziehen. Dann noch im liegen Fahrrad fahren. Auf dem Rücken liegend die Fußspitze heranziehen und das Bein durchgestreckt hochziehen. Das mache ich jetzt 3 mal täglich.
Hier habe ich mal ein Bild, von den Präparaten, die ich nehme:
Leinenöl mit Omega 3, Grünlippmuschel, Ackerschachtelhalm, Glucosamine/Chondroitin, Vitamine etc.
Das ist relativ viel, wird aber hoffentlich der Knorpelersatzschicht helfen, sich zu bilden.
Hier siehst du noch ein MRT Bild, 2 Tage nach dem Trauma. Ich habe mal kenntlich gemacht, wo das Stück herausgebrochen ist und wie groß es ist. Man sieht hier gut, dass es lateral hinter der Partella herausgebrochen ist und im Gelenk "herumlag". Man kann auch gut erkennen, weshalb es bei der Überstreckung an dieser Stelle herausgebrochen ist.
In den nächsten Wochen erzähle ich euch mehr zu den einzelnen Behandlungsmethoden bei Knorpelschaden.
3
Hallo t-dog,
das ist mal eine ganz übele Geschichte. Ich hoffe dein Knie wird einigermaßen wieder, so das du wieder aktiv Sport treiben kannst. Ich werde deinen Blog interessiert verfolgen.
Mein Mann hat am Knie auch einen Knorpelschaden 4. Grades und damit Arthrose. Da er deutlich älter ist als du kam so eine OP nicht mehr in Frage. Noch kann er alles machen, läuft auch Marathon, jedoch wird er wohl früher oder später ein künstliches Kniegelenk brauchen.
Ich hoffe du bist bei deinen Ärzten in guten Händen. Wie kamst du denn auf die ganzen Präparate? Empfohlen oder dich selber im Netz schlau gemacht?
das ist mal eine ganz übele Geschichte. Ich hoffe dein Knie wird einigermaßen wieder, so das du wieder aktiv Sport treiben kannst. Ich werde deinen Blog interessiert verfolgen.
Mein Mann hat am Knie auch einen Knorpelschaden 4. Grades und damit Arthrose. Da er deutlich älter ist als du kam so eine OP nicht mehr in Frage. Noch kann er alles machen, läuft auch Marathon, jedoch wird er wohl früher oder später ein künstliches Kniegelenk brauchen.
Ich hoffe du bist bei deinen Ärzten in guten Händen. Wie kamst du denn auf die ganzen Präparate? Empfohlen oder dich selber im Netz schlau gemacht?
4
Hi ;-)
joa sowohl als auch. Ich denke, das man sich da auch an alles klammert, was sich sinnvoll anhört. Die Wirkungen sind zum Teil nicht signifikant nachgewiesen, auch wenn die Hersteller das behaupten. Ich denke aber, dass insbesondere die Grünlippmuschel sowie das Ackerschachtelhalmsubstrat nicht verkehrt sind, weil viele Menschen darüber positiv berichtet haben und diese Substanzen auch natürlich gewonnen werden. Wie alt ist denn dein Mann? Bei ihm könnten Hyaloron-Spritzen Sinn machen...möglicherweise.
Ich habe nun noch 2 Wochen Vollentlastung (mit 5-10kg abrollen)... Freue mich aber schon sehr auf den Belastungsaufbau ab Anfang Oktober.
joa sowohl als auch. Ich denke, das man sich da auch an alles klammert, was sich sinnvoll anhört. Die Wirkungen sind zum Teil nicht signifikant nachgewiesen, auch wenn die Hersteller das behaupten. Ich denke aber, dass insbesondere die Grünlippmuschel sowie das Ackerschachtelhalmsubstrat nicht verkehrt sind, weil viele Menschen darüber positiv berichtet haben und diese Substanzen auch natürlich gewonnen werden. Wie alt ist denn dein Mann? Bei ihm könnten Hyaloron-Spritzen Sinn machen...möglicherweise.
Ich habe nun noch 2 Wochen Vollentlastung (mit 5-10kg abrollen)... Freue mich aber schon sehr auf den Belastungsaufbau ab Anfang Oktober.
5
Er geht auf die 50 zu.
Hyaloron hatten wir uns schlau gemacht, von einem Ortophäden hat er auch ein Faltblatt dazu bekommen. Er hat sich dann dagegen entschieden, da es mit Sportpause verbunden gewesen wäre. Wenn er mal eine akute Entzündung im Knie hat, dann ist sie auch ohne Hyaloron mit Sportpause weg, daher kam es ihm doch arg unsinnig vor. Unser Sportorthopäde hat auch ehr abgeraten.
Leichte Schmerzen hat er zwar immer, aber an die hat er sich wohl längst gewöhnt. Problematisch ist es eben nur wenn es mal entzündet ist. Ansonsten heißt es halt das Knie und die Muskulatur trainieren, so das die Beweglichkeit erhalten bleibt und keine all zu große Dysbalance zwischen den beiden Beinen entsteht.
Hyaloron hatten wir uns schlau gemacht, von einem Ortophäden hat er auch ein Faltblatt dazu bekommen. Er hat sich dann dagegen entschieden, da es mit Sportpause verbunden gewesen wäre. Wenn er mal eine akute Entzündung im Knie hat, dann ist sie auch ohne Hyaloron mit Sportpause weg, daher kam es ihm doch arg unsinnig vor. Unser Sportorthopäde hat auch ehr abgeraten.
Leichte Schmerzen hat er zwar immer, aber an die hat er sich wohl längst gewöhnt. Problematisch ist es eben nur wenn es mal entzündet ist. Ansonsten heißt es halt das Knie und die Muskulatur trainieren, so das die Beweglichkeit erhalten bleibt und keine all zu große Dysbalance zwischen den beiden Beinen entsteht.
6
Woche 5:
Nachdem ich die ersten 4 Wochen den Fuß nach Möglichkeit gar nicht auf dem Boden gesetzt habe, tat ich dies inklusive Abrollen in dieser 5. Woche. Mit ganz wenig Belastung kamen hier 10kg - 15kg zu stande. Ich habe mir eine analoge Waage gekauft und das mal getestet. Ansonsten verlief diese Woche ruhig. Ich hatte 3 mal 30min Krankengymnastik. Hierbei muss ich sagen, dass mir Massagen besonders gut taten. Der Oberschenkel ist schon sehr verhärtet und besonders Druck in der Kniekehle hilft dabei, wieder mehr Beweglichkeit herzustellen. Fahrradfahren (Sattel hoch einstellen) funktioniert ganz gut und fühlt sich auch schön an.
Das Knie war nach der leichten Belastung wieder etwas dicker. Nach Kühlungen und wieder etwas mehr Schonung ist dies aber zurückgegangen. Ab Heute ist es noch 1 Woche mit Abrollen und maximal 15kg Belastung. Danach (ab 29.9.) darf ich jeden Tag 5kg mehr belasten. Der Gedanke daran fühlt sich komisch an, weil sich das Bein schlapp und unbeweglich anfühlt. Mal schauen...
Nachdem ich die ersten 4 Wochen den Fuß nach Möglichkeit gar nicht auf dem Boden gesetzt habe, tat ich dies inklusive Abrollen in dieser 5. Woche. Mit ganz wenig Belastung kamen hier 10kg - 15kg zu stande. Ich habe mir eine analoge Waage gekauft und das mal getestet. Ansonsten verlief diese Woche ruhig. Ich hatte 3 mal 30min Krankengymnastik. Hierbei muss ich sagen, dass mir Massagen besonders gut taten. Der Oberschenkel ist schon sehr verhärtet und besonders Druck in der Kniekehle hilft dabei, wieder mehr Beweglichkeit herzustellen. Fahrradfahren (Sattel hoch einstellen) funktioniert ganz gut und fühlt sich auch schön an.
Das Knie war nach der leichten Belastung wieder etwas dicker. Nach Kühlungen und wieder etwas mehr Schonung ist dies aber zurückgegangen. Ab Heute ist es noch 1 Woche mit Abrollen und maximal 15kg Belastung. Danach (ab 29.9.) darf ich jeden Tag 5kg mehr belasten. Der Gedanke daran fühlt sich komisch an, weil sich das Bein schlapp und unbeweglich anfühlt. Mal schauen...
7
Woche 6:
Puhh...die ersten 6 Wochen nach der OP sind um. So hart war es im Nachhinein eigentlich gar nicht. Der Schlüssel lag bei mir in der Krankengymnastik. Ich war bei einer Person, die eher lust- und ideenlos an meinem Bein rumgedrückt hat. Es braucht ein bisschen Mut, um zu Wechseln, aber ich kann nur empfehlen, mehrere Krankengymnasten auszuprobieren. Der Körper gibt schon Bescheid, was sich gut und richtig anfühlt.
Jeden Tag wird es etwas besser und die Bewegungen laufen mittlerweile wieder recht flüssig ab.
Von morgen an, darf ich die Belastung in den nächsten 10 Tagen auf Vollbelastung hochfahren. Ich werde dann berichten, wie es mir dabei ergeht.
Gestern habe ich mir ein Rennrad gekauft und werde damit ab dem Zeitpunkt der Vollbelastung ins Training einsteigen.
Puhh...die ersten 6 Wochen nach der OP sind um. So hart war es im Nachhinein eigentlich gar nicht. Der Schlüssel lag bei mir in der Krankengymnastik. Ich war bei einer Person, die eher lust- und ideenlos an meinem Bein rumgedrückt hat. Es braucht ein bisschen Mut, um zu Wechseln, aber ich kann nur empfehlen, mehrere Krankengymnasten auszuprobieren. Der Körper gibt schon Bescheid, was sich gut und richtig anfühlt.
Jeden Tag wird es etwas besser und die Bewegungen laufen mittlerweile wieder recht flüssig ab.
Von morgen an, darf ich die Belastung in den nächsten 10 Tagen auf Vollbelastung hochfahren. Ich werde dann berichten, wie es mir dabei ergeht.
Gestern habe ich mir ein Rennrad gekauft und werde damit ab dem Zeitpunkt der Vollbelastung ins Training einsteigen.
8
Woche 7:
Nach Abschluss der sechsten Woche habe ich versucht, jeden Tag 5 kg mehr Belastung aufs Knie zu bringen, sodass ich nach ca. 12 Tagen wieder bei Vollbelastung bin. Ich gehe zum heutigen Zeitpunkt noch an Krücken, bringe aber nur minimal Kraft aus den Armen auf - bin jetzt bei 55 kg Belastung auf dem operierten Bein. Das fühlt sich schon wieder leicht nach gehen an. Das Gehen hat man ein wenig verlernt und man blickt draußen in der Stadt oder im Park neidisch auf die, die es können. Wie sich doch eine Perspektive verändern kann. Sei es drum, es muss ja wieder nach vorne gehen. Ich bin nach wie vor bei voller Streckung und fast schon wieder bei voller Beugung - meine Krankengymnastin ist echt gut. Danke Nadine!
Leider habe ich mir diese Woche eine Erkältung eingefangen. Auch das noch....ich sage euch, man fühlt sich ziemlich hilflos, wenn man an Krücken durch die Stadt geht und dann nießen muss. Ich habe die Glucosamin und Chondroitin Tabletten erstmal abgesetzt, weil sie meinem Magen nicht gut tun.
Fahrradfahren läuft super und ab nächster Woche geht es zum Schwimmen. Ich freue mich sehr über die Entwicklungen - so darf es weitergehen.
Nach Abschluss der sechsten Woche habe ich versucht, jeden Tag 5 kg mehr Belastung aufs Knie zu bringen, sodass ich nach ca. 12 Tagen wieder bei Vollbelastung bin. Ich gehe zum heutigen Zeitpunkt noch an Krücken, bringe aber nur minimal Kraft aus den Armen auf - bin jetzt bei 55 kg Belastung auf dem operierten Bein. Das fühlt sich schon wieder leicht nach gehen an. Das Gehen hat man ein wenig verlernt und man blickt draußen in der Stadt oder im Park neidisch auf die, die es können. Wie sich doch eine Perspektive verändern kann. Sei es drum, es muss ja wieder nach vorne gehen. Ich bin nach wie vor bei voller Streckung und fast schon wieder bei voller Beugung - meine Krankengymnastin ist echt gut. Danke Nadine!
Leider habe ich mir diese Woche eine Erkältung eingefangen. Auch das noch....ich sage euch, man fühlt sich ziemlich hilflos, wenn man an Krücken durch die Stadt geht und dann nießen muss. Ich habe die Glucosamin und Chondroitin Tabletten erstmal abgesetzt, weil sie meinem Magen nicht gut tun.
Fahrradfahren läuft super und ab nächster Woche geht es zum Schwimmen. Ich freue mich sehr über die Entwicklungen - so darf es weitergehen.
11
Woche 8:
Ich bin wieder bei 100 % Belastung. Natürlich fühlt sich das Bein noch komisch an - klar nach der Zeit. Aber es wird langsam wieder. Das Gehen geht ganz gut. Das Fahrradfahren ist super, auch mit ein wenig Druck und Geschwindigkeit.
Leider war ich bisher noch nicht schwimmen, aber ich werde dann darüber berichten.
Das Knie ist nicht geschwollen und die Beugung und Streckung ist wieder fast hergestellt. Manchmal habe ich Probleme mit den Bändern. Dann springt was über oder in der Kniekehle merkt man eine Verklebung.
Der Arzt sagt, dass es jetzt wichtig ist, nicht zu überdrehen...also nicht zu viel zu wollen. Bis Mitte November soll ganz ruhig so weiter gemacht werden. Dann ist ein MRT Termin, der zeigen wird, wie gut die Defektstelle noch mit dem Ersatzknorpel bedeckt ist.
Ich bin wieder bei 100 % Belastung. Natürlich fühlt sich das Bein noch komisch an - klar nach der Zeit. Aber es wird langsam wieder. Das Gehen geht ganz gut. Das Fahrradfahren ist super, auch mit ein wenig Druck und Geschwindigkeit.
Leider war ich bisher noch nicht schwimmen, aber ich werde dann darüber berichten.
Das Knie ist nicht geschwollen und die Beugung und Streckung ist wieder fast hergestellt. Manchmal habe ich Probleme mit den Bändern. Dann springt was über oder in der Kniekehle merkt man eine Verklebung.
Der Arzt sagt, dass es jetzt wichtig ist, nicht zu überdrehen...also nicht zu viel zu wollen. Bis Mitte November soll ganz ruhig so weiter gemacht werden. Dann ist ein MRT Termin, der zeigen wird, wie gut die Defektstelle noch mit dem Ersatzknorpel bedeckt ist.
12
Wow, du hat dein Körper aber eine Glanzleistung hingelegt was die Heilung betrifft. Ich arbeite in der Reha und ich weiß aus erster Hand, dass es leider nicht immer so "gut" (soweit man das eben sagen kann bei soetwas) abläuft wie bei dir. Ich wünsche dir noch ganz viel Glück für dich und dein Knie in Zukunft. 

14
Woche 9:
Das Knie fühlt sich natürlich noch komisch an und man muss mit schnellen Drehbewegungen aufpassen, aber der Alltag lässt sich wieder normal bewältigen. Ich habe eine 2h Rennrad-Tour absolvieren können und war nach 50km mega platt. Endlich mal wieder Sport.
Aktuell mache ich noch 2 mal pro Woche Krankengymnastik und versuche immer ein wenig Fahrrad zu fahren sowie Kräftigungs- und Dehnübungen zu absolvieren. Danach fühlt sich das Bein meistens besser an.
Der MRT Termin ist nun doch erst Mitte nächsten Monats. Die Bilder poste ich dann hier und erzähle euch dann mehr dazu.
Das Knie fühlt sich natürlich noch komisch an und man muss mit schnellen Drehbewegungen aufpassen, aber der Alltag lässt sich wieder normal bewältigen. Ich habe eine 2h Rennrad-Tour absolvieren können und war nach 50km mega platt. Endlich mal wieder Sport.
Aktuell mache ich noch 2 mal pro Woche Krankengymnastik und versuche immer ein wenig Fahrrad zu fahren sowie Kräftigungs- und Dehnübungen zu absolvieren. Danach fühlt sich das Bein meistens besser an.
Der MRT Termin ist nun doch erst Mitte nächsten Monats. Die Bilder poste ich dann hier und erzähle euch dann mehr dazu.
15
Woche 10:
Die OP war im Sommer. Mittlerweile ist es Herbst und es fühlt sich fast wie eine Ewigkeit an. Die Entwicklung des Knies ist absolut in Ordnung. Es scheint sich wieder zu einem Teil von mir zu entwickeln, wobei es sich lange Zeit eher wie ein Fremdkörper angefühlt hat. Das Fahrradfahren geht gut (40-50km) und nach der Physiotherapier/KG fühle ich mich wohl. Morgens muss man immer etwas mobilisieren, aber das geht dann auch recht schnell. So langsam kribbelt es wieder in Richtung Fußball...
Die OP war im Sommer. Mittlerweile ist es Herbst und es fühlt sich fast wie eine Ewigkeit an. Die Entwicklung des Knies ist absolut in Ordnung. Es scheint sich wieder zu einem Teil von mir zu entwickeln, wobei es sich lange Zeit eher wie ein Fremdkörper angefühlt hat. Das Fahrradfahren geht gut (40-50km) und nach der Physiotherapier/KG fühle ich mich wohl. Morgens muss man immer etwas mobilisieren, aber das geht dann auch recht schnell. So langsam kribbelt es wieder in Richtung Fußball...
18
Hui. Nun ist richtig viel Zeit vergangen. Es ist Ende Januar und die OP ist ca. 5 Monate her. Ich habe in den letzten 8 Wochen vor allem versucht die Muskulatur in den Beinen zu stärken (Fahrradfahren/Ergometer und Bewegung). Das Knie fühlt sich zunehmend besser an, sodass ich am letzten Dienstag das erste Mal am Fußball Training teilgenommen habe. Ein wenig Laufen und einfaches Passspiel gingen schon wieder, aber das war es auch. Ich werde versuchen, die Muskulatur weiter zu kräftigen, Körpergewicht zu reduzieren und bald wieder zu joggen. Ich hoffe, dass das allen ein wenig Mut macht, die auch unter einem Knorpelschaden leiden. Ich kann euch sagen: Das Leben geht weiter und wenn man fleißig ist und positiv denkt, dann kann man auch wieder Sport machen. Ich werde euch das nächste Mal im März/April berichten, ob es mit dem Fußball weitergehen wird oder nicht ; )
19
Hi t-dog.
erstmal finde ich das übrigends Top, dass und wie du deine Erfahrungen mit dem Knorpelschaden hier teilst.
Hast du inzwischen weitere Erfahrungen gesammelt in Sachen Fußball spielen?
Meine Story ist quasi so ziemlich die selbe wie deine. Der unterschied ist eigentlich nur, dass ich 3 Jahre jünger bin als du, ich mir das Knie im Zweikampf beim Fußball verdreht habe und das ganze im September 2016 passiert ist und operiert wurde.
Deine ganzen Eindrücke und Rehabilitationsempfindungen kann ich auch genau so teilen bis jetzt. Ich hab mir auch die selben Gedanken gemacht bzgl. Fußball, gehen und Sport im allgemeinen,
Vom Stand der Reha bin ich aktuell auch im Muskelaufbautraining, bin aber leider bis jetzt weniger Fahrrad gefahren als du und am Fußball Training hab ich bis jetzt auch noch nicht wieder teilgenommen seit dem Unfall.
Klappt es bei dir wieder Schmerzfrei mit dem Fußball? Wäre echt cool, wenn du dazu noch was schreiben würdest, interessiert mich nämlich sehr.

erstmal finde ich das übrigends Top, dass und wie du deine Erfahrungen mit dem Knorpelschaden hier teilst.

Hast du inzwischen weitere Erfahrungen gesammelt in Sachen Fußball spielen?
Meine Story ist quasi so ziemlich die selbe wie deine. Der unterschied ist eigentlich nur, dass ich 3 Jahre jünger bin als du, ich mir das Knie im Zweikampf beim Fußball verdreht habe und das ganze im September 2016 passiert ist und operiert wurde.
Deine ganzen Eindrücke und Rehabilitationsempfindungen kann ich auch genau so teilen bis jetzt. Ich hab mir auch die selben Gedanken gemacht bzgl. Fußball, gehen und Sport im allgemeinen,
Vom Stand der Reha bin ich aktuell auch im Muskelaufbautraining, bin aber leider bis jetzt weniger Fahrrad gefahren als du und am Fußball Training hab ich bis jetzt auch noch nicht wieder teilgenommen seit dem Unfall.
Klappt es bei dir wieder Schmerzfrei mit dem Fußball? Wäre echt cool, wenn du dazu noch was schreiben würdest, interessiert mich nämlich sehr.

20
Ja moin moin,
also schnell laufen ist noch schwierig, weil man gehemt ist, aber kicken geht tatsächlich wieder - bisher nur im Training, aber in einem Monat werde ich in den Punktspielen wieder angreifen.
Aktuell mache ich zwei Dinge und das hält mich super fit und macht mich sehr glücklich. Ich bekomme Hyaloron-Spritzen (denke mal, dass du möglicherweise noch nicht so weit bist!?) und das andere ist eine 10-Wochen-Challenge mit Wim Hof (The iceman). Google das mal und schau dir Videos bei YouTube an. Mein Leben hat das unglaublich positiv beeinflusst.
Gib mir mal Rückmeldung, was du dazu denkst.
LG
also schnell laufen ist noch schwierig, weil man gehemt ist, aber kicken geht tatsächlich wieder - bisher nur im Training, aber in einem Monat werde ich in den Punktspielen wieder angreifen.
Aktuell mache ich zwei Dinge und das hält mich super fit und macht mich sehr glücklich. Ich bekomme Hyaloron-Spritzen (denke mal, dass du möglicherweise noch nicht so weit bist!?) und das andere ist eine 10-Wochen-Challenge mit Wim Hof (The iceman). Google das mal und schau dir Videos bei YouTube an. Mein Leben hat das unglaublich positiv beeinflusst.
Gib mir mal Rückmeldung, was du dazu denkst.
LG
21
Hallo t-dog, bin Mitte 40 und Freizeitradler. Allerdings von berufswegen mit einem sehr knappen Zeitbudget für's Rad. Ich habe ca. alle zwei Wochen Frühschichtwoche, in der ich versuche, wenigstens 2 mal auf's Rad zu kommen. Meine Touren belaufen sich auf 20 bis 25 km.
Bin bei Deinem Tagebuch gelandet, weil ich auf der Suche nach Erfahrungsberichten war. Bei mir wurde ein Knorpelschaden von ca. 4mm Größe festgestellt. Der Doc sagte mir was von 6 Wochen Krankschreibung, aber überall lese ich was von 6 Wochen gar nicht belasten. Klar, dass danach noch nicht an Arbeit zu denken ist. Andererseits klangen die anderen Verletzungen immer schlimmer als meine.
Ich mache mir halt in erster Linie Sorge um den Job. Bin Verkäuferin und habe vor genau einem Jahr erst meinen Arbeitgeber gewechselt. Ich brauche meine Beine, will aber auch nicht so lange ausfallen. Außerdem habe ich Bedenken genau wie Du, wie die "trainingsfreie Zeit" überstehen? Wie mit Krücken den Alltag meistern, wenn man nicht auftreten darf? Duschen? Wanne kann ich eh knicken, keine Ahnung, wie ich auf einem Bein da rein kommen soll. Und natürlich muss ich eh schon auf's Gewicht achten, Trotz meiner "Bike- und Walking-Manie" hab ich Adipositas Klasse 1. Die Bewegung hat mir bisher geholfen, Gewicht zu halten, bzw. zu verringern. Es entstand in den letzten 2 Jahren auch so eine Art Suchtverhalten nach Bewegung (angefangen hat alles nur, weil ich das Radfahren als Aggressionsabbau für mich entdeckte).
Was meinst Du, könnte es mit 6 Wochen bei mir getan sein? Den nächsten Termin beim Doc hab ich erst Mitte Mai. Bis dahin hat er mir Bedenkzeit bezüglich der OP gegeben. Alternativen nannte er allerdings nicht. Außer in 20 Jahren neues Kniegelenk.
Bin bei Deinem Tagebuch gelandet, weil ich auf der Suche nach Erfahrungsberichten war. Bei mir wurde ein Knorpelschaden von ca. 4mm Größe festgestellt. Der Doc sagte mir was von 6 Wochen Krankschreibung, aber überall lese ich was von 6 Wochen gar nicht belasten. Klar, dass danach noch nicht an Arbeit zu denken ist. Andererseits klangen die anderen Verletzungen immer schlimmer als meine.
Ich mache mir halt in erster Linie Sorge um den Job. Bin Verkäuferin und habe vor genau einem Jahr erst meinen Arbeitgeber gewechselt. Ich brauche meine Beine, will aber auch nicht so lange ausfallen. Außerdem habe ich Bedenken genau wie Du, wie die "trainingsfreie Zeit" überstehen? Wie mit Krücken den Alltag meistern, wenn man nicht auftreten darf? Duschen? Wanne kann ich eh knicken, keine Ahnung, wie ich auf einem Bein da rein kommen soll. Und natürlich muss ich eh schon auf's Gewicht achten, Trotz meiner "Bike- und Walking-Manie" hab ich Adipositas Klasse 1. Die Bewegung hat mir bisher geholfen, Gewicht zu halten, bzw. zu verringern. Es entstand in den letzten 2 Jahren auch so eine Art Suchtverhalten nach Bewegung (angefangen hat alles nur, weil ich das Radfahren als Aggressionsabbau für mich entdeckte).
Was meinst Du, könnte es mit 6 Wochen bei mir getan sein? Den nächsten Termin beim Doc hab ich erst Mitte Mai. Bis dahin hat er mir Bedenkzeit bezüglich der OP gegeben. Alternativen nannte er allerdings nicht. Außer in 20 Jahren neues Kniegelenk.
24
Hi Milad,
das Spielen geht eigentlich sogar, wenn man richtig aufgewärmt ist. Aber die Woche danach ist Hölle. Es kommt also darauf an, wie sehr man das will. Ich bin 30 und habe eventuell in 5 Jahren Kinder im ballfähigen Alter und für die will ich da sein...naja, das ist der Trade-off ; )
das Spielen geht eigentlich sogar, wenn man richtig aufgewärmt ist. Aber die Woche danach ist Hölle. Es kommt also darauf an, wie sehr man das will. Ich bin 30 und habe eventuell in 5 Jahren Kinder im ballfähigen Alter und für die will ich da sein...naja, das ist der Trade-off ; )
25
Hallo ich bin neu hier und wollte dir eigentlich privat schreiben t-dog, allerdings habe ich das nicht hinbekommen, jedenfalls habe auch ich osteocondrose dissecanse Grad 4 und stehe nun vor der Entscheidung der Mosaikplastik, musstest du bei dieser OP etwas selbst bezahlen oder wurde diese von der Krankenkasse komplett übernommen ? So wie du geschrieben hattest bist du mit dem Verlauf der Op sehr zufrieden gewesen und wollte dich einmal fragen, wo du dich operieren lassen hast.
Da du nach der OP auch direkt mit Unterarmgehstützen laufen durftest ist auch das ein Punkt der mir wichtig wäre.
Vielleicht kannst du mir ja mal antworten.
Liebe Grüße
Da du nach der OP auch direkt mit Unterarmgehstützen laufen durftest ist auch das ein Punkt der mir wichtig wäre.
Vielleicht kannst du mir ja mal antworten.
Liebe Grüße
26
Hallo t-dog und alle anderen!
Ich bin neu hier.. Erstens einmal möchte ich loswerden, dass es extrem gut tut, auch Erfahrungen von anderen Leuten zu dem Thema zu lesen! die zum Teil positiven Berichte geben mir ein bisschen Hoffnung, auch wenn klar ist, dass diese Verletzung bei jedem anders verläuft..
bei mir wurde im August 2017 ebenfalls die Microfracturing Methode zur Behandlung eines Knorpelschadens 3.-4. Grades (direkt unter der Kniescheibe) angewandt.. soweit alles schön und gut, 6 Wochen Krücken, jetzt schon einige Zeit ganz gut zu Fuß unterwegs.. hatte noch kein MRT seit der OP, aber habe definitiv das Gefühl, dass der charakteristische Schmerz jetzt nicht mehr vorhanden ist.. --> supercool eigentlich! ...aber: Ich habe seit circa zwei wochen auch oft das gefühl, dass in meinem Knie (beim Stiegen steigen zum Beispiel) eine Sehne oder sowas ähnliches immer "drüberspringt"... hat irgendwer von euch erfahrung, was das betrifft?
t-dog, du hast auch in einem deiner Berichte so etwas ähnliches erwähnt, wie gings damit bei dir weiter?!
Liebe Grüße,
Alex
Ich bin neu hier.. Erstens einmal möchte ich loswerden, dass es extrem gut tut, auch Erfahrungen von anderen Leuten zu dem Thema zu lesen! die zum Teil positiven Berichte geben mir ein bisschen Hoffnung, auch wenn klar ist, dass diese Verletzung bei jedem anders verläuft..

bei mir wurde im August 2017 ebenfalls die Microfracturing Methode zur Behandlung eines Knorpelschadens 3.-4. Grades (direkt unter der Kniescheibe) angewandt.. soweit alles schön und gut, 6 Wochen Krücken, jetzt schon einige Zeit ganz gut zu Fuß unterwegs.. hatte noch kein MRT seit der OP, aber habe definitiv das Gefühl, dass der charakteristische Schmerz jetzt nicht mehr vorhanden ist.. --> supercool eigentlich! ...aber: Ich habe seit circa zwei wochen auch oft das gefühl, dass in meinem Knie (beim Stiegen steigen zum Beispiel) eine Sehne oder sowas ähnliches immer "drüberspringt"... hat irgendwer von euch erfahrung, was das betrifft?
t-dog, du hast auch in einem deiner Berichte so etwas ähnliches erwähnt, wie gings damit bei dir weiter?!

Liebe Grüße,
Alex
Kombination MPFL-Plastik und Mikrofrakturierung
27
Hallo t-dog und alle anderen Mitleidenden,
es ist wirklich aufmunternd, solche Genesungsgeschichten zu hören. Danke t-dog, bei mir ist das Trauma echt ähnlich.
Kurz zu mir:
Ich bin 27 Jahre und ich habe mir vor einem Monat beim Fußball das Knie überstreckt. Dabei ist die Kniescheibe (Patella) herausgesprungen (luxiert). Das ging so schnell, dass ich es gar nicht richtig mitbekommen habe. Nur Schmerz und ein Knacken war zu vernehmen (jaja, der geliebte Fußball...).
Diagnose laut MRT: Knorpelschaden 4. Grades, Defekt ca. 10x10mm, hinter der Patella (mediale Patellafacette).
Am 9.11. wurde bei mir eine Microfracture durchgeführt, als zweiter Schritt bei der OP noch eine MPFL-Plastik. Eine Strecksehne wird dabei verwendet, um die Kniescheibe mit dem Oberschenkelknochen zu fixieren, da das Innenband bei mir das ganze nicht mehr seriös zusammenhält.
Die OP verlief soweit so gut. Nach einer Nacht stationär im KKH bin ich gestern entlassen worden.
Ich habe wenig Schmerzen und reduziere jetzt schon mein Ibu.
Stutzig bin ich bei meiner Reha-Vorschrift geworden und wollte bei Euch nachfragen, was Eure Ärzte und Physios so meinen:
Ab Tag 1 Post-OP:
- Knieimmobilisation im Klett-Tutor (Steckschiene) für 2 Wochen
- Drei-Punkt-Gang mit 20kg Teilbelastung erlaubt und gewünscht. Wichtig dabei, den Fuß abzurollen und sozusagen nur die Sohle aufsetzen.
- Streck- und Hebeübungen des operierten Beins: Zehen zu mir ziehen, Knie durchdrücken, Bein anheben und 10 Sekunden halten. Das trainiert die Oberschenkelmuskulatur. Ebenso auf die Seite des gesunden Beins legen und das operierte Bein anheben, um die Hüftmuskulatur zu trainieren. Beide Übungen jeweils ein paar mal wiederholen und 3x pro Tag durchführen.
- Beweglichkeitsübungen: Aktiv-Assistierte Beübung, 0-60°, auf die Bettkante setzen, das gesunde Bein unter das operierte, dann mit dessen Hilfe von 0-60° beugen und wieder nach 0° strecken. Hätte ich eine automatische/elektrische Bewegungsmaschine, würde ich das wohl machen. Ist im Prinzip die selbe Idee der Mobilisation dahinter.
... nach ca. drei Wochen bekomme ich wohl eine Kniegelenks-Orthese mit 0°-0°-90°. Dann langsam langsam anfangen zu gehen. Ab Woche 7.-8. dann Fahrradfahren und leichtes joggen/laufen möglich. Das habe ich bei t-dog auch so wahrgenommen. Das passt. Aber direkt so früh nach der OP Belastung?
Die Kombination MPFL+Mikrofrakturierung ist wohl etwas, was schon häufiger vorkommt. Ich fühle mich auch sicher ,bei meinem Operateur. Ich bin mir eben nur unsicher, ob ich direkt so viel (0°-60°) bewegen sollte und auch die direkte leichte Belastung bis 20 kg ist hier doch noch nicht im Forum zu lesen.
Vor allem für die MPFL-Plastik, also das gefakte Innenband, ist es wohl wichtig, direkt zu mobilisieren und zu bewegen. Nur schließt das dann nicht die Heilung vom Knorpeldefekt aus?
Wie gesagt, die OP war vor zwei Tagen. Ich fühle mich ganz gut und würde gerne auch direkt die Übungen durchziehen. Nur weiß ich auch, dass ich sehr viel Geduld haben muss und ggf. Ruhe erstmal wichtiger ist.
Hat jemand von Euch Erfahrungen damit? Wie schnell belastet, bzw. bewegt ihr?
VG und Danke!
N.

es ist wirklich aufmunternd, solche Genesungsgeschichten zu hören. Danke t-dog, bei mir ist das Trauma echt ähnlich.
Kurz zu mir:
Ich bin 27 Jahre und ich habe mir vor einem Monat beim Fußball das Knie überstreckt. Dabei ist die Kniescheibe (Patella) herausgesprungen (luxiert). Das ging so schnell, dass ich es gar nicht richtig mitbekommen habe. Nur Schmerz und ein Knacken war zu vernehmen (jaja, der geliebte Fußball...).
Diagnose laut MRT: Knorpelschaden 4. Grades, Defekt ca. 10x10mm, hinter der Patella (mediale Patellafacette).
Am 9.11. wurde bei mir eine Microfracture durchgeführt, als zweiter Schritt bei der OP noch eine MPFL-Plastik. Eine Strecksehne wird dabei verwendet, um die Kniescheibe mit dem Oberschenkelknochen zu fixieren, da das Innenband bei mir das ganze nicht mehr seriös zusammenhält.
Die OP verlief soweit so gut. Nach einer Nacht stationär im KKH bin ich gestern entlassen worden.
Ich habe wenig Schmerzen und reduziere jetzt schon mein Ibu.
Stutzig bin ich bei meiner Reha-Vorschrift geworden und wollte bei Euch nachfragen, was Eure Ärzte und Physios so meinen:
Ab Tag 1 Post-OP:
- Knieimmobilisation im Klett-Tutor (Steckschiene) für 2 Wochen
- Drei-Punkt-Gang mit 20kg Teilbelastung erlaubt und gewünscht. Wichtig dabei, den Fuß abzurollen und sozusagen nur die Sohle aufsetzen.
- Streck- und Hebeübungen des operierten Beins: Zehen zu mir ziehen, Knie durchdrücken, Bein anheben und 10 Sekunden halten. Das trainiert die Oberschenkelmuskulatur. Ebenso auf die Seite des gesunden Beins legen und das operierte Bein anheben, um die Hüftmuskulatur zu trainieren. Beide Übungen jeweils ein paar mal wiederholen und 3x pro Tag durchführen.
- Beweglichkeitsübungen: Aktiv-Assistierte Beübung, 0-60°, auf die Bettkante setzen, das gesunde Bein unter das operierte, dann mit dessen Hilfe von 0-60° beugen und wieder nach 0° strecken. Hätte ich eine automatische/elektrische Bewegungsmaschine, würde ich das wohl machen. Ist im Prinzip die selbe Idee der Mobilisation dahinter.
... nach ca. drei Wochen bekomme ich wohl eine Kniegelenks-Orthese mit 0°-0°-90°. Dann langsam langsam anfangen zu gehen. Ab Woche 7.-8. dann Fahrradfahren und leichtes joggen/laufen möglich. Das habe ich bei t-dog auch so wahrgenommen. Das passt. Aber direkt so früh nach der OP Belastung?
Die Kombination MPFL+Mikrofrakturierung ist wohl etwas, was schon häufiger vorkommt. Ich fühle mich auch sicher ,bei meinem Operateur. Ich bin mir eben nur unsicher, ob ich direkt so viel (0°-60°) bewegen sollte und auch die direkte leichte Belastung bis 20 kg ist hier doch noch nicht im Forum zu lesen.
Vor allem für die MPFL-Plastik, also das gefakte Innenband, ist es wohl wichtig, direkt zu mobilisieren und zu bewegen. Nur schließt das dann nicht die Heilung vom Knorpeldefekt aus?
Wie gesagt, die OP war vor zwei Tagen. Ich fühle mich ganz gut und würde gerne auch direkt die Übungen durchziehen. Nur weiß ich auch, dass ich sehr viel Geduld haben muss und ggf. Ruhe erstmal wichtiger ist.
Hat jemand von Euch Erfahrungen damit? Wie schnell belastet, bzw. bewegt ihr?
VG und Danke!
N.

Post Op Mobilisation
28Also mich hat es am 9.11. erwischt mit Mikrofrakturierung.
Jetzt gammel ich hier auf der Couch rum und studiere, was die nächsten Monate bevor steht.
Der Arzt Behandlungsplan sieht folgendes vor:
- Gehstützen für 12 Wochen mit erlaubtem Fußsohlenkontakt und leichtem Abrollen mit ca. 10kg Belastung für die ersten 8 Wochen.
- tägliche Thromboseprophylaxe mit selbst zu setzender Spritze in den Bauch, Thrombosestrümpfen für mindestens 8 Wochen. Der Strumpf am gesunden Bein kann nach 4 Wochen weg und der Arzt muss die Blutgerinnung am 4./10./20./30. Tag usw nach OP checken. Antithrombosegymnastik wurde mir nicht wirklich erklärt, aber google hat mir da den einen oder anderen Tip gegeben.
- Krankengymnastik soll so früh wie möglich z.B. ab dem 4. Tag erfolgen mit isometrischem Training (was ist das?) und manueller Therapie. Ich würde ja gerne heute anfangen aber am Sonntag erzählt mir keiner wie das geht.
In der 1. - 8. Woche soll ich lokal mit Eis behandeln, um die Schwellung zu lindern und Entzündungen zu hemmen. Dazu noch Ibuprofen 400mg 3x täglich. Ob ich die die ganzen 8 Wochen schlucken muss, finde ich noch raus.
Eine Bewegungsschiene wurde mir auch angeraten für 6 Stunden pro Tag über 8 Wochen. Das Ding ist so ein richtiges Brett: Es kostet wohl knapp 300€ für den notwendigen Zeitraum und die Krankenkassen zahlen das nicht, weil der medizinische Dienst in einer Studie keinen Vorteil gegenüber der konventioneller Physiotherapie feststellen konnte. Studium sei Dank habe ich mich selbst auf die Suche nach den Publikationen begeben und bin noch nicht abschließend fündig geworden., ob das Ding nützt oder nicht. Mein Verdacht besteht, dass da der Beinschienenhersteller eine Provision beim Arzt bekommt, wenn er es verschreibt und der Patient in seiner Angst das Ding annimmt. Hier werde ich wohl nochmals recherchieren, wo der Arzt her nimmt, dass.das Ding "wissenschaftlich eindeutig nachgewiesen" ist.
2-3 Wochen nach der Operation kann dann mit Fahrradergometertraining ohne Widerstand begonnen werden. Ziel sind 45 Minuten ununterbrochenes schmerzfreies treten nach 8 Wochen. Training im Wasser darf auch nach 3 Wochen starten, wobei keine Gewichtsbelastung am operierten Knie auftreten darf. Auf Nachfragen beim Arzt meinte er ich könne Auto fahren nach so 6 Wochen, weil die Belastung für Gas geben üblicherweise ja nicht über 20kg geht. Wenn mein 1x scharf bremsen muss, ist die ganze Arbeit vielleicht dahin also werde ich mir das nochmal ganz genau überlegen und vielleicht Doppelpedalfahrten mit meinem Automatikauto üben.
In der 9.-16. Woche darf dann mit Widerstand auf dem Fahrradergometer begonnen werden.
9. - 11. Woche Steigerung der Belastung um ein Drittel.
Ab der 12. Woche dann Alltagsbelastung als volle Belastung.
Kraftausdauertraining und Muskelaufbautraining folgen dann.
Ab der 17. - 24. Woche gibt es Intensivierung des Krafttrainings mit Rücksicht auf den mikrofrakturierten Defekt.
Beim Orthopäden darf ich im 3. / 6. und 12. Monat vorbei gucken - pünklich zu den den Quartalsabrechnungen
Das wird echt ein langer Lauf werden. Erst die ganze Muskelmasse verlieren und dann wieder von 0 anfangen. Ein Glück ist Winter und ich kann von zu Hause arbeiten. Montag ist Physiotherapievorgespräch. Mal gucken was da passiert.
Jetzt gammel ich hier auf der Couch rum und studiere, was die nächsten Monate bevor steht.
Der Arzt Behandlungsplan sieht folgendes vor:
- Gehstützen für 12 Wochen mit erlaubtem Fußsohlenkontakt und leichtem Abrollen mit ca. 10kg Belastung für die ersten 8 Wochen.
- tägliche Thromboseprophylaxe mit selbst zu setzender Spritze in den Bauch, Thrombosestrümpfen für mindestens 8 Wochen. Der Strumpf am gesunden Bein kann nach 4 Wochen weg und der Arzt muss die Blutgerinnung am 4./10./20./30. Tag usw nach OP checken. Antithrombosegymnastik wurde mir nicht wirklich erklärt, aber google hat mir da den einen oder anderen Tip gegeben.
- Krankengymnastik soll so früh wie möglich z.B. ab dem 4. Tag erfolgen mit isometrischem Training (was ist das?) und manueller Therapie. Ich würde ja gerne heute anfangen aber am Sonntag erzählt mir keiner wie das geht.
In der 1. - 8. Woche soll ich lokal mit Eis behandeln, um die Schwellung zu lindern und Entzündungen zu hemmen. Dazu noch Ibuprofen 400mg 3x täglich. Ob ich die die ganzen 8 Wochen schlucken muss, finde ich noch raus.
Eine Bewegungsschiene wurde mir auch angeraten für 6 Stunden pro Tag über 8 Wochen. Das Ding ist so ein richtiges Brett: Es kostet wohl knapp 300€ für den notwendigen Zeitraum und die Krankenkassen zahlen das nicht, weil der medizinische Dienst in einer Studie keinen Vorteil gegenüber der konventioneller Physiotherapie feststellen konnte. Studium sei Dank habe ich mich selbst auf die Suche nach den Publikationen begeben und bin noch nicht abschließend fündig geworden., ob das Ding nützt oder nicht. Mein Verdacht besteht, dass da der Beinschienenhersteller eine Provision beim Arzt bekommt, wenn er es verschreibt und der Patient in seiner Angst das Ding annimmt. Hier werde ich wohl nochmals recherchieren, wo der Arzt her nimmt, dass.das Ding "wissenschaftlich eindeutig nachgewiesen" ist.
2-3 Wochen nach der Operation kann dann mit Fahrradergometertraining ohne Widerstand begonnen werden. Ziel sind 45 Minuten ununterbrochenes schmerzfreies treten nach 8 Wochen. Training im Wasser darf auch nach 3 Wochen starten, wobei keine Gewichtsbelastung am operierten Knie auftreten darf. Auf Nachfragen beim Arzt meinte er ich könne Auto fahren nach so 6 Wochen, weil die Belastung für Gas geben üblicherweise ja nicht über 20kg geht. Wenn mein 1x scharf bremsen muss, ist die ganze Arbeit vielleicht dahin also werde ich mir das nochmal ganz genau überlegen und vielleicht Doppelpedalfahrten mit meinem Automatikauto üben.
In der 9.-16. Woche darf dann mit Widerstand auf dem Fahrradergometer begonnen werden.
9. - 11. Woche Steigerung der Belastung um ein Drittel.
Ab der 12. Woche dann Alltagsbelastung als volle Belastung.
Kraftausdauertraining und Muskelaufbautraining folgen dann.
Ab der 17. - 24. Woche gibt es Intensivierung des Krafttrainings mit Rücksicht auf den mikrofrakturierten Defekt.
Beim Orthopäden darf ich im 3. / 6. und 12. Monat vorbei gucken - pünklich zu den den Quartalsabrechnungen

Das wird echt ein langer Lauf werden. Erst die ganze Muskelmasse verlieren und dann wieder von 0 anfangen. Ein Glück ist Winter und ich kann von zu Hause arbeiten. Montag ist Physiotherapievorgespräch. Mal gucken was da passiert.
Reha Protokolle
29Ja, die Reha Protokolle unterscheiden sich je nachdem wo der Schaden ist. Wenn es an der Kniescheibe ist / Patellofemoral darf man wohl nicht so viel bewegen und früher belasten. Wenn es das Schienenbeinplateu und Oberschenkel (Kondylen / Tibiaplateu) ist, sollte wohl schneller bewegt und wenig belastet werden.
https://www.thesteadmanclinic.com/patie ... -technique
Dann werde ich wohl mal gleich anfangen. 500 Bewegungen sind ein ganz schönes Brett. Musik an und dann wird gerockt.
https://www.thesteadmanclinic.com/patie ... -technique
Dann werde ich wohl mal gleich anfangen. 500 Bewegungen sind ein ganz schönes Brett. Musik an und dann wird gerockt.
30
„Beim Orthopäden darf ich im 3. / 6. und 12. Monat vorbei gucken - pünklich zu den den Quartalsabrechnungen
„
Weißt du, wenn ich sowas lese, kommt mir die Galle hoch..
.. Wieso hat eigentlich jeder Angst, der Arzt könnte was an einem verdienen?
Wenn du mit deinem Auto in die Werkstatt fährst, hast du dann auch Angst, die könnten was an dir verdienen?
Übrigens ist es so, dass der Pat. Für den Arzt nach drei Besuchen im Quartal zum Minusgeschäft wird.... wenn der Arzt dich dann trotzdem noch anschaut und dir beim Jammern zuhört, kann man das nur noch Nettigkeit nennen, verdienen tut er dann nichts mehr an dir!
Wenn du von einer Werkstatt verlangst, dass sie dein Auto nach dem dritten Mal umsonst reparieren, wirst du wahrscheinlich rausgeworfen....
Geh mal zum Tischler und sagst, 3 Tischbeine bezahlst du ihm, das vierte soll er dir umsonst machen....was glaubst du was dann passiert?
Die Wahrscheinlichkeit, dass er dir deine Tischbeine hinterher wirfst ist sicher groß.....
Eine Arztpraxis ist ein Wirtschaftsbetrieb.....und ja, ein Arzt verdient auch an seinen Patienten.... der kriegt sein Brot nämlich beim Bäcker auch nicht geschenkt.....

Weißt du, wenn ich sowas lese, kommt mir die Galle hoch..

Wenn du mit deinem Auto in die Werkstatt fährst, hast du dann auch Angst, die könnten was an dir verdienen?
Übrigens ist es so, dass der Pat. Für den Arzt nach drei Besuchen im Quartal zum Minusgeschäft wird.... wenn der Arzt dich dann trotzdem noch anschaut und dir beim Jammern zuhört, kann man das nur noch Nettigkeit nennen, verdienen tut er dann nichts mehr an dir!
Wenn du von einer Werkstatt verlangst, dass sie dein Auto nach dem dritten Mal umsonst reparieren, wirst du wahrscheinlich rausgeworfen....
Geh mal zum Tischler und sagst, 3 Tischbeine bezahlst du ihm, das vierte soll er dir umsonst machen....was glaubst du was dann passiert?
Die Wahrscheinlichkeit, dass er dir deine Tischbeine hinterher wirfst ist sicher groß.....
Eine Arztpraxis ist ein Wirtschaftsbetrieb.....und ja, ein Arzt verdient auch an seinen Patienten.... der kriegt sein Brot nämlich beim Bäcker auch nicht geschenkt.....
Wir sind vom Leben gezeichnet in den buntesten Farben, und wir tragen sie mit Stolz, unsere Wunden und Narben (SDP)
Dieser Weg wird kein leichter sein...(Teil 1)
In Ruhe alt werd´ich später.....(Forts.)
Kölner Zoolauf 07/2017 8,6 km
Kölner Brückenlauf 09/2017 15,65 km 1:43:xx
HM Köln 10/2017. 21,1 km 2:18.xx
Dieser Weg wird kein leichter sein...(Teil 1)
In Ruhe alt werd´ich später.....(Forts.)
Kölner Zoolauf 07/2017 8,6 km
Kölner Brückenlauf 09/2017 15,65 km 1:43:xx
HM Köln 10/2017. 21,1 km 2:18.xx
Nicht gleich spucken
31und rumtrollen. Für einen Tisch ist deutlich leichter für den Kunden zu prüfen, ob 4 Beine notwendig sind, oder ob man hier einem Tischler aufsitzt, der gerade so seine Lehre hinter sich gebracht hat und jemandem etwas verkauft, was man nicht braucht. Wenn der Arzt vernünftig arbeitet ist seine Leistung ja auch voll gerechtfertigt. Ich oder die Krankenkasse zahlt für Expertise und das Handwerk und das sollte nachvollziehbar sein. Da habe ich nichts gegen effiziente Prozesse und Papierzettel aber bitte mit Begründung und Hintergrundinformation.
Ich habe in anderem Zusammenhang mal ein Medikament bekommen mit einem Schulterzucken und dem Satz "bei manchen hilfts, bei manchen nicht". Nach etwas Recherche fand ich die Orginalstudie, die ein 20% verbessertes Ansprechenverhalten bei Einnahme des Medikaments festgestellt hat. Da sind Welten in der Qualität der Aussage der Ärzte und da fehlt mir etwas.
Auch bei konkreten Aussagen zu Chancen bei Mikrofrakturierung bekommt man nur Schulterzucken oder "das ist individuell" von den Angestellten. Das reicht mir nicht. Ich will Zahlen und Fakten soweit verfügbar.
Ich habe in anderem Zusammenhang mal ein Medikament bekommen mit einem Schulterzucken und dem Satz "bei manchen hilfts, bei manchen nicht". Nach etwas Recherche fand ich die Orginalstudie, die ein 20% verbessertes Ansprechenverhalten bei Einnahme des Medikaments festgestellt hat. Da sind Welten in der Qualität der Aussage der Ärzte und da fehlt mir etwas.
Auch bei konkreten Aussagen zu Chancen bei Mikrofrakturierung bekommt man nur Schulterzucken oder "das ist individuell" von den Angestellten. Das reicht mir nicht. Ich will Zahlen und Fakten soweit verfügbar.
Bewegungsschiene
32Wen es interessiert: Der medizinische Dienst hat hier verschiedene Studienauswertungen analysiert und kommt unter dem Strich dazu, dass die Datenlage zu dünn oder qualitativ nicht ausreichend ist, um es abschließend bewerten zu können. Das ist wohl dann auch der Grund, warum die Krankenkassen aktuell nicht bereit sind, dafür zu zahlen. Wenn der Arzt behauptet, dass die wissenschaftlichen Nachweise eindeutig für eine Schiene sprechen, müsste es ja auffindbare Studien dazu geben.
33
cleanerx hat geschrieben:und rumtrollen.
Ich trolle nicht... ob du das tust, wirst du noch unter Beweis stellen müssen.

Im Gegensatz zum Tisch ist der Mensch nicht berechenbar, sondern ein lebendes Objekt. Ich arbeite seit 30 Jahren in einem medizinischen Beruf und habe echt schon Pferde kotzen sehen. Was bei dem einen gut geht, muss beim anderen noch lange nicht funktionieren.... dasitzt leider so.... es gibt gewisse Erfahrungswerte, aber ob die bei dir zutreffen, weiss man dann erst hinterher.cleanerx hat geschrieben:Für einen Tisch ist deutlich leichter für den Kunden zu prüfen, ob 4 Beine notwendig sind, oder ob man hier einem Tischler aufsitzt, der gerade so seine Lehre hinter sich gebracht hat und jemandem etwas verkauft, was man nicht braucht. Wenn der Arzt vernünftig arbeitet ist seine Leistung ja auch voll gerechtfertigt. Ich oder die Krankenkasse zahlt für Expertise und das Handwerk und das sollte nachvollziehbar sein. Da habe ich nichts gegen effiziente Prozesse und Papierzettel aber bitte mit Begründung und Hintergrundinformation.
Ich habe in anderem Zusammenhang mal ein Medikament bekommen mit einem Schulterzucken und dem Satz "bei manchen hilfts, bei manchen nicht". Nach etwas Recherche fand ich die Orginalstudie, die ein 20% verbessertes Ansprechenverhalten bei Einnahme des Medikaments festgestellt hat. Da sind Welten in der Qualität der Aussage der Ärzte und da fehlt mir etwas.
Auch bei konkreten Aussagen zu Chancen bei Mikrofrakturierung bekommt man nur Schulterzucken oder "das ist individuell" von den Angestellten. Das reicht mir nicht. Ich will Zahlen und Fakten soweit verfügbar.
Uuuund, was man auch nicht vergessen darf, ist die Compliance der Patienten. Der eine hält sich an die Anweisung des Arztes und der andere glaubt, sich dran zu halten oder hat vielleicht vom Freund der Freundin des Cousins von seiner Tante gehört, dass es anders viel besser ist, oder -leider auch oft der Fall - die Dummheit des Pat steht ihm selbst im Weg.....
Aber eins ist sicher.... schuld ist dann immer der Arzt.....

P.S. Eine kurze Vorstellung, damit man weiss, mit wem man es zu tun hat, kommt hier im Forum immer gut an....

Wir sind vom Leben gezeichnet in den buntesten Farben, und wir tragen sie mit Stolz, unsere Wunden und Narben (SDP)
Dieser Weg wird kein leichter sein...(Teil 1)
In Ruhe alt werd´ich später.....(Forts.)
Kölner Zoolauf 07/2017 8,6 km
Kölner Brückenlauf 09/2017 15,65 km 1:43:xx
HM Köln 10/2017. 21,1 km 2:18.xx
Dieser Weg wird kein leichter sein...(Teil 1)
In Ruhe alt werd´ich später.....(Forts.)
Kölner Zoolauf 07/2017 8,6 km
Kölner Brückenlauf 09/2017 15,65 km 1:43:xx
HM Köln 10/2017. 21,1 km 2:18.xx
34
Hast Du Dir mal die Studie genauer angeschaut ? Das 20% bessere Ansprechverhalten kommt oft in der Probandengruppe zu Stande, obwohl einige Personen gar keine Verbesserung erfahren und einige deutlich mehr als 20% profitieren.cleanerx hat geschrieben: Ich habe in anderem Zusammenhang mal ein Medikament bekommen mit einem Schulterzucken und dem Satz "bei manchen hilfts, bei manchen nicht". Nach etwas Recherche fand ich die Orginalstudie, die ein 20% verbessertes Ansprechenverhalten bei Einnahme des Medikaments festgestellt hat. Da sind Welten in der Qualität der Aussage der Ärzte und da fehlt mir etwas.
Auch bei konkreten Aussagen zu Chancen bei Mikrofrakturierung bekommt man nur Schulterzucken oder "das ist individuell" von den Angestellten. Das reicht mir nicht. Ich will Zahlen und Fakten soweit verfügbar.
Inwieweit es für einen Patienten hilfreich ist, zu wissen, dass er in 5 Jahren zu 80% nicht mehr leben wird oder zu 72%, kann man auch diskutieren. Wenn die durchschnittliche Überlebenszeit 5 Jahre beträgt, bedeutet das halt auch, das einige schon nach 2 Jahren nicht mehr leben und einige halt trotzdem viel älter werden.
Ich gebe den Patienten gerne ganz konkrete Zahlen, wenn sie diese wollen, aber individuell ist das oft nicht das Sinnvollste. Bzw. Ich nehme Bezug auf die Zahlen, weil ich davon ausgehe, dass die Patienten sie lesen, aber versuche sie etwas zu relativieren und zu erläutern.
Das man als kranker Mensch das Bedürfnis nach möglichst einfachen und konkreten Angaben hat, ist verständlich, nur leider ist das Bedürfnis selten zu befriedigen. Und Tante google zu Fragen und eine einzige Studie zu lesen, ist in der immer schwerer zu durchschauenden Medizinwelt halt oft nicht die zielführendste Strategie.
35
Hallo, bin rein zufällig auf das Forum hier gestoßen und möchte mich mal mit einbringen um eventuell auch ein paar Tipps zu bekommen. Ich bin 40 Jahre alt, und hatte vor vor 5 Tagen eine OP am linken Knie Knorpelschaden Grad 4 direkt hinter der Kniescheibe. Es wurde eine mikrofrakturierung durchgeführt ...jetzt folgen 6 Wochen Krücken mit 20 kg Teilbelastung. Habe diese wunderbare Schiene mit maximal 45 Grad Beugung. Ich habe es ambulant machen lassen, daher ist es schwierig für mich mit der Nachbehandlung. Fange jetzt morgen mit Krankengymnastik und Lymphdrainage an. Ein paar Fragen an euch, die das schon durchgemacht haben. Wie lange ist es normal dass das Knie geschwollen ist? Muss man die Schiene auch nachts tragen? Habt ihr Tips für mich was ich beachten sollte. Danke im voraus...glg
36
Hi,
lustig, diesen Faden habe ich die ganze Zeit überlesen, dabei werde ich übermorgen auch am Knie operiert mit Knorpelschaden4.Grades usw.
ABER: Ich habe mich GEGEN diese Mikrofrakturierung entschieden. Ich lasse nur die Überreste glätten und versuche dann Stabilität über gezielten Muskulaturaufbau ums Knie herum zu bekommen.
Warum?
Nun, ich bin bereits 49, habe zwei Grundschulkinder, eine berufstätige Frau und einen Vollzeitjob, den wir auch dringend brauchen.
Die Option wochenlang mit Krücken rumzurennen sehe ich ehrlich gesagt nicht ohne schiefen Haussegen und ich habe da auch überhaupt keinen Bock drauf!
Nicht falsch verstehen, ich habe viel gelesen und weiß, dass diese Mikrofrakturierung eine echte Option ist, aber es gibt durchaus auch andere Meinungen (Auch von Ärzten) und so habe ich entschieden, dass das für mich persönlich NOCH nicht der richtige Weg ist.
Ich finde es aber toll so umfangreich darüber zu lesen hier und wer weiß, wenn bei mir alles halbgar bleibt, kann ich die Karte immer noch ziehen.
Also bitte immer schon weiter fleißig Updates des weiteren Verlaufes schreiben, ich lese ab jetzt aufmerksam mit.
Beste Grüße
Gecko
lustig, diesen Faden habe ich die ganze Zeit überlesen, dabei werde ich übermorgen auch am Knie operiert mit Knorpelschaden4.Grades usw.
ABER: Ich habe mich GEGEN diese Mikrofrakturierung entschieden. Ich lasse nur die Überreste glätten und versuche dann Stabilität über gezielten Muskulaturaufbau ums Knie herum zu bekommen.
Warum?
Nun, ich bin bereits 49, habe zwei Grundschulkinder, eine berufstätige Frau und einen Vollzeitjob, den wir auch dringend brauchen.
Die Option wochenlang mit Krücken rumzurennen sehe ich ehrlich gesagt nicht ohne schiefen Haussegen und ich habe da auch überhaupt keinen Bock drauf!
Nicht falsch verstehen, ich habe viel gelesen und weiß, dass diese Mikrofrakturierung eine echte Option ist, aber es gibt durchaus auch andere Meinungen (Auch von Ärzten) und so habe ich entschieden, dass das für mich persönlich NOCH nicht der richtige Weg ist.
Ich finde es aber toll so umfangreich darüber zu lesen hier und wer weiß, wenn bei mir alles halbgar bleibt, kann ich die Karte immer noch ziehen.
Also bitte immer schon weiter fleißig Updates des weiteren Verlaufes schreiben, ich lese ab jetzt aufmerksam mit.
Beste Grüße
Gecko
Tonic ohne Alkohol ist Ginlos...
Mein Blog: GinFit.de
Gabelstapler Glukose // Wie man NICHT auf Sub3 trainiert // GeckoanalysisDie bekanntesten FORENBANANEN // Guter Laufstil vs. schlechter Laufstil
Ewige Bestenliste Saison 2016/2017 : 5km: 19:24 ---- 10km: 40:20 --- HM: 1:29:02 --- M: 3:25:52
Ziele 2019: Zunehmend abnehmen...
Mein Blog: GinFit.de
Gabelstapler Glukose // Wie man NICHT auf Sub3 trainiert // GeckoanalysisDie bekanntesten FORENBANANEN // Guter Laufstil vs. schlechter Laufstil
Ewige Bestenliste Saison 2016/2017 : 5km: 19:24 ---- 10km: 40:20 --- HM: 1:29:02 --- M: 3:25:52
Ziele 2019: Zunehmend abnehmen...
Komplikationen
37Liebe Gemeinde,
vorab erst mal vielen Dank für die vielen Beiträge. Ich bin Mitte 50, wohne in Zentralmecklenburg am großen See, und bei mir wurde in einem Zentrum für Orthopädie in Ostmecklenburg vor 3 1/2 Wochen eine Mikrofrakturierung am medialen Femurkondylus (linkes Kniegelenk) durchgeführt. Der Befund war Chondropathie 3. Grades am medialen Femurkondylus und 1. Grades retropatellar linkes Kniegelenk.
Ich laufe seitdem an Krücken und darf das linke Knie auch ganz leicht belasten (10-15 kg). Ich versuche aber diese Belastung so weit wie möglich zu vermeiden. Was mir Sorgen macht: Das Knie ist immer noch dick. Am Wochenende hatte ich in der linken Wade eine extreme Verhärtung, in der Notaufnahme im örtlichen Krankenhaus konnte eine Thrombose ausgeschlossen werden (ich nehme ja jeden Tag die Spritzen). Nach wie vor ist auch der Unterschenkel angeschwollen. Die Verhärtung des Unterschenkels ist etwas abgeklungen. Mein behandeldender Orthopäde meinte gestern dazu nur - ja das ist so.
Ich mache mir langsam Sorgen. Für nächste Woche Dienstag werde ich mir wohl noch einmal eine Überweisung zur Sprechstunde in der Klinik holen. Bis dahin muss ich noch durchhalten.
vorab erst mal vielen Dank für die vielen Beiträge. Ich bin Mitte 50, wohne in Zentralmecklenburg am großen See, und bei mir wurde in einem Zentrum für Orthopädie in Ostmecklenburg vor 3 1/2 Wochen eine Mikrofrakturierung am medialen Femurkondylus (linkes Kniegelenk) durchgeführt. Der Befund war Chondropathie 3. Grades am medialen Femurkondylus und 1. Grades retropatellar linkes Kniegelenk.
Ich laufe seitdem an Krücken und darf das linke Knie auch ganz leicht belasten (10-15 kg). Ich versuche aber diese Belastung so weit wie möglich zu vermeiden. Was mir Sorgen macht: Das Knie ist immer noch dick. Am Wochenende hatte ich in der linken Wade eine extreme Verhärtung, in der Notaufnahme im örtlichen Krankenhaus konnte eine Thrombose ausgeschlossen werden (ich nehme ja jeden Tag die Spritzen). Nach wie vor ist auch der Unterschenkel angeschwollen. Die Verhärtung des Unterschenkels ist etwas abgeklungen. Mein behandeldender Orthopäde meinte gestern dazu nur - ja das ist so.
Ich mache mir langsam Sorgen. Für nächste Woche Dienstag werde ich mir wohl noch einmal eine Überweisung zur Sprechstunde in der Klinik holen. Bis dahin muss ich noch durchhalten.
2 Jahre danach
38Hey Leute,
ich wollte mich hier nochmal zu Wort melden.
Mir gings mit dem Knie mal besser und mal schlechter. ABER! Was mir wirklich geholfen hat, waren zwei Dinge:
Viel Fahrradfahren (>200km pro Woche) und 2x täglich für 1min in die Hocke gehen (am besten nach dem Radfahren).
Das Knie ist wieder so stabil wie vor dem Knorpelschaden und ich spiele mittlerweile wieder ganz normal Fußball.
Vielleicht ist das ja ein Hoffnungsschimmer für manche von Euch.
Also wichtig, nicht rumheulen, sondern das Knie viel und ohne druck (z.B. Joggen) bewegen. -> Museklaufbau!!!
ich wollte mich hier nochmal zu Wort melden.
Mir gings mit dem Knie mal besser und mal schlechter. ABER! Was mir wirklich geholfen hat, waren zwei Dinge:
Viel Fahrradfahren (>200km pro Woche) und 2x täglich für 1min in die Hocke gehen (am besten nach dem Radfahren).
Das Knie ist wieder so stabil wie vor dem Knorpelschaden und ich spiele mittlerweile wieder ganz normal Fußball.
Vielleicht ist das ja ein Hoffnungsschimmer für manche von Euch.
Also wichtig, nicht rumheulen, sondern das Knie viel und ohne druck (z.B. Joggen) bewegen. -> Museklaufbau!!!
39
Klingt doch prima und macht sicherlich einigenHoffnungt-dog hat geschrieben:Vielleicht ist das ja ein Hoffnungsschimmer für manche von Euch.
Also wichtig, nicht rumheulen, sondern das Knie viel und ohne druck (z.B. Joggen) bewegen. -> Museklaufbau!!!

aber...
Das verstehe ich nichtt-dog hat geschrieben:Das Knie ist wieder so stabil wie vor dem Knorpelschaden und ich spiele mittlerweile wieder ganz normal Fußball.

Gruss Tommi


Mein Tagebuch: forum/threads/96079-Die-dicken-Waden-der-dicken-Wade
"Unser Denken bestimmt unsere Wahrnehmung und unser Verhalten. Wenn wir uns nur auf das konzentrieren, was uns missfällt, werden wir auch viel Schlechtes sehen, dementsprechend über die Welt denken und unser Verhalten danach ausrichten. Menschen, die sich auf das Schöne konzentrieren, sind folglich zweifelsfrei glücklicher."
Thorsten Havener
42
@Tommi vielen Dank für die schnelle Antwort! Vor Verlassen vom Krankenhaus sagte mir der Kontrollartzt, nach meiner Anfrage, dass ich keine Physiotherapie braucht. Mein Hausartzt meint auch, Physiotherapie spielt in meinem Fall keine große Rolle. Aber ich bekam trotzdem 7 Tage Physiotherapie. Mein Physiotherapeut hat keine Ahnung von Mikrofrakturierung. In Internet finde ich auch keinen Fall, wo 2 Wochen Entlastung genug ist. Ich kann nur hoffen, mit Hilfe von meinem Physiotherapeut und euren hier geteilten Erfahrungen, wird mein Knie wieder funktionieren.
44
Hier gibt es keine Orthopäden. Seit der OP habe ich den operienden Artzt noch nicht gesehen. Der Kontrollartzt hat keine Ahnung von meiner OP. Ich bin enttäuscht. Es bleibt mir keine Wahl, außer allein zu handeln. Ich bin nicht sicher, ob ein Termin mit dem operienden Artzt etwas bringt.
46
Darf ich mal fragen, in welchem Teil Deutschlands du wohnst, in dem es keine Orthopäden gibt?Greenbbq hat geschrieben:Hier gibt es keine Orthopäden. Seit der OP habe ich den operienden Artzt noch nicht gesehen. Der Kontrollartzt hat keine Ahnung von meiner OP. Ich bin enttäuscht. Es bleibt mir keine Wahl, außer allein zu handeln. Ich bin nicht sicher, ob ein Termin mit dem operienden Artzt etwas bringt.
Wir sind vom Leben gezeichnet in den buntesten Farben, und wir tragen sie mit Stolz, unsere Wunden und Narben (SDP)
Dieser Weg wird kein leichter sein...(Teil 1)
In Ruhe alt werd´ich später.....(Forts.)
Kölner Zoolauf 07/2017 8,6 km
Kölner Brückenlauf 09/2017 15,65 km 1:43:xx
HM Köln 10/2017. 21,1 km 2:18.xx
Dieser Weg wird kein leichter sein...(Teil 1)
In Ruhe alt werd´ich später.....(Forts.)
Kölner Zoolauf 07/2017 8,6 km
Kölner Brückenlauf 09/2017 15,65 km 1:43:xx
HM Köln 10/2017. 21,1 km 2:18.xx
48
Ich hatte vor 6,5 Wochen eine Mikrofrakturierung am Knie nach Knorpelschaden 4. Grad auf einer Fläche 15x20mm. Verlief bis jetzt alles ganz gut, die Zeit auf Krücken war/ist mühsam aber erträglich.
Was mich verunsichert ist, dass der charakteristische Schmerz an der Stelle im Knie nach wie vor da ist. Habe neulich auf der rechten Körperseite liegend die Bettdecke mit dem linken Bein angehoben sodass genau die Stelle am linken Knie Schmerzen wie vor der OP verursachte. Wie war das bei euch in dieser Phase nach der Operation?
Was mich verunsichert ist, dass der charakteristische Schmerz an der Stelle im Knie nach wie vor da ist. Habe neulich auf der rechten Körperseite liegend die Bettdecke mit dem linken Bein angehoben sodass genau die Stelle am linken Knie Schmerzen wie vor der OP verursachte. Wie war das bei euch in dieser Phase nach der Operation?
49
Hallo Greenbbq,
ich hatte letzte Woche eine ähnliche Operation wie Du, eine Mikrofrakturierung am rechten Knie nach Knorpelschaden 4. Grades auf einer Fläche 10 * 12 mm direkt hinter der Kniescheibe.
Ich habe eine recht intensive Nachbehandlung durch meinen Hausarzt, er ist Sportmediziner. Am zweiten Tag nach dem ambulanten Eingriff musste ich zur Kontrolle zu meinem Hausarzt. Nach dem 6. Tag wurden die Fäden gezogen und stattdessen die beiden kleinen Wunden geklammert. Die Klammern habe ich immer noch.
Thrombosespritzen bekomme ich täglich - über einen Zeitraum von ca. 6 - 8 Wochen, außerdem habe ich Unterarmgehstützen, da ich mein operiertes Bein nur mit ca. 15 kg belasten darf. Eine Orthese entlastet mein Kniegelenk außerdem.
Zusätzlich habe ich eine Schiene geliefert bekommen, die mein Bein passiv mit einem Winkel von 30 Grad bewegt und ab nächster Woche Lymphdrainage und Physiotherapie.
Ich glaube, Du musst Dich dringend mit einem Mediziner austauschen, damit Du eine gute Nachbehandlung bekommst, denn diese ist eine wesentliche Ursache für den Erfolg der zurückliegenden Operation.
Gute Besserung!
ich hatte letzte Woche eine ähnliche Operation wie Du, eine Mikrofrakturierung am rechten Knie nach Knorpelschaden 4. Grades auf einer Fläche 10 * 12 mm direkt hinter der Kniescheibe.
Ich habe eine recht intensive Nachbehandlung durch meinen Hausarzt, er ist Sportmediziner. Am zweiten Tag nach dem ambulanten Eingriff musste ich zur Kontrolle zu meinem Hausarzt. Nach dem 6. Tag wurden die Fäden gezogen und stattdessen die beiden kleinen Wunden geklammert. Die Klammern habe ich immer noch.
Thrombosespritzen bekomme ich täglich - über einen Zeitraum von ca. 6 - 8 Wochen, außerdem habe ich Unterarmgehstützen, da ich mein operiertes Bein nur mit ca. 15 kg belasten darf. Eine Orthese entlastet mein Kniegelenk außerdem.
Zusätzlich habe ich eine Schiene geliefert bekommen, die mein Bein passiv mit einem Winkel von 30 Grad bewegt und ab nächster Woche Lymphdrainage und Physiotherapie.
Ich glaube, Du musst Dich dringend mit einem Mediziner austauschen, damit Du eine gute Nachbehandlung bekommst, denn diese ist eine wesentliche Ursache für den Erfolg der zurückliegenden Operation.
Gute Besserung!
50
@Dezember vielen Dank für deinen Vorschlag! mein Artztbrief wurde korrigiert. Jetzt lautet er: 6 Wochen Entlastung. Aber eine Sache ist mir noch micht klar. Nach 6 Wochen darf ich sofort mein Knie mit 100% Belastung belasten oder soll ich schrittweise machen? Wie macht ihr nach der Teillastungsphase?